Use of nano-osteoperforations in patients with maxillary and mandibular arch constriction and mandibular incisor crowding
- Authors: Fadeev R.A.1, Shchedrina T.A.2
-
Affiliations:
- North-Western State Medical University named after I.I. Mechnikov
- Medical center “Romanovsky”
- Issue: Vol 3, No 1 (2025)
- Pages: 5-13
- Section: Clinical dentistry and maxillofacial surgery
- Submitted: 03.04.2025
- Accepted: 11.04.2025
- Published: 30.04.2025
- URL: https://stomuniver.ru/unistom/article/view/678093
- DOI: https://doi.org/10.17816/uds678093
- EDN: https://elibrary.ru/WDLQNF
- ID: 678093
Cite item
Abstract
Orthodontic treatment is intended to correct malocclusion and dentofacial anomalies. In many cases, conventional orthodontic techniques prove insufficient or require extended treatment durations. In such instances, minimally invasive surgical interventions offer an alternative therapeutic strategy. Micro-osteoperforation, commonly performed using rotary burs, often results in trauma to the oral mucosa. We propose a method of nano-osteoperforation that enables a minimally traumatic approach. This article presents a clinical case demonstrating the application of nano-osteoperforations during orthodontic treatment in patients with maxillary and mandibular arch constriction and mandibular incisor crowding. Nano-osteoperforation is an innovative technique aimed at promoting bone regeneration and accelerating orthodontic tooth movement. In this case, the use of nano-osteoperforations facilitated faster treatment progression and improved smile aesthetics.
Full Text
INTRODUCTION
The diagnosis and treatment of maxillary and mandibular arch constriction and lower incisor crowding is an important issue in modern dentistry [1]. These anomalies have a multifactorial etiology, including genetic predisposition, disturbances in craniofacial development, and various jaw growth anomalies [2].
Lower incisor crowding not only compromises esthetics, but also causes functional disorders such as difficulty biting and impaired articulation. Moreover, it increases the risk of injuries to the teeth and dental caries. These factors highlight the importance of early diagnosis and comprehensive treatment in this type of condition [3].
Orthodontic treatment is intended to correct malocclusion and dentofacial anomalies. In many cases, conventional orthodontic techniques are inefficient or require long-term treatment. In these cases, surgical interventions can be a valuable additional option, significantly improving orthodontic treatment outcomes [4–6].
The proposed nano-osteoperforation technique is a surgical procedure that facilitates tooth movement, stimulates blood circulation and bone tissue regeneration. It involves making small openings (1.1–1.5 mm in diameter) in the maxillary and mandibular cortical and cancellous bones with a osteoperforation device patented by Shchedrina, Fadeev, and Prozorova (utility model patent No. 225784 of May 6, 2024, Russia).
CASE DESCRIPTION
Patient B., female, 35 years old, presented to the Romanovsky Medical Center with complaints of pain and clicking in the temporomandibular joint (TMJ), bruxism, primary headaches, and misaligned teeth.
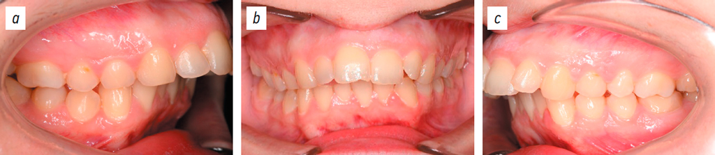
On examination: attrition of upper and lower incisal edges, cusps of canine teeth, and occlusal surfaces of molars. V-shaped constriction of the maxillary arch. Crowding of the upper and lower incisors. The maxillary and mandibular labial frenula and the buccal frenula are attached at the center of the alveolar part. Overeruption of tooth 14 (ISO 21). Occlusal plane deformation. The overjet measures 11.6 mm. The maxillary midline is displaced 3.5 mm to the left relative to the facial midline. Angle Class II molar relationships. TMJ clicking on the left when opening the mouth. TMJ clicking and popping on the left on palpation via the external auditory meatus. The medial pterygoid muscle on the right is mildly tender on palpation. The lateral pterygoid muscle on the right and left is tender on palpation. The posterior discotemporal ligament on the left is tender on palpation. When swallowing saliva, the tongue is positioned between the upper and lower teeth (Figs. 1–3).
Fig. 1. Photo of the patient’s face: frontal view (a), with a smile (b), photo of a smile (c), profile view (d), profile view with a smile (e), three-quarter view with a smile (f).
Рис. 1. Фотография лица пациентки: анфас (a), с улыбкой (b), фотография улыбки (c), в профиль (d), в профиль с улыбкой (e), в 3/4 оборота с улыбкой (f).
Fig. 2. Dental arches: lateral right projection (a), posteroanterior projection (b), lateral left projection (c).
Рис. 2. Зубные ряды: боковая правая проекция (a), передняя проекция (b), боковая левая проекция (c).
Fig. 3. Occlusal projection of the upper arch (a) and the lower arch (b).
Рис. 3. Окклюзионная проекция верхнего зубного ряда (a) и нижнего зубного ряда (b).
Computed tomography (CT) of the jaws, lateral cephalometric radiographs, TMJ CT, and functional diagnostic tests were performed (Figs. 4–6).
Fig. 4. Computed tomography sections of the right (a) and left (b) temporomandibular joints before treatment.
Рис. 4. Срез компьютерной томограммы правого (a) и левого (b) височно-нижнечелюстного сустава до лечения.
Fig. 5. Section of computed tomography of the jaws before treatment.
Рис. 5. Срез компьютерной томограммы челюстей до лечения.
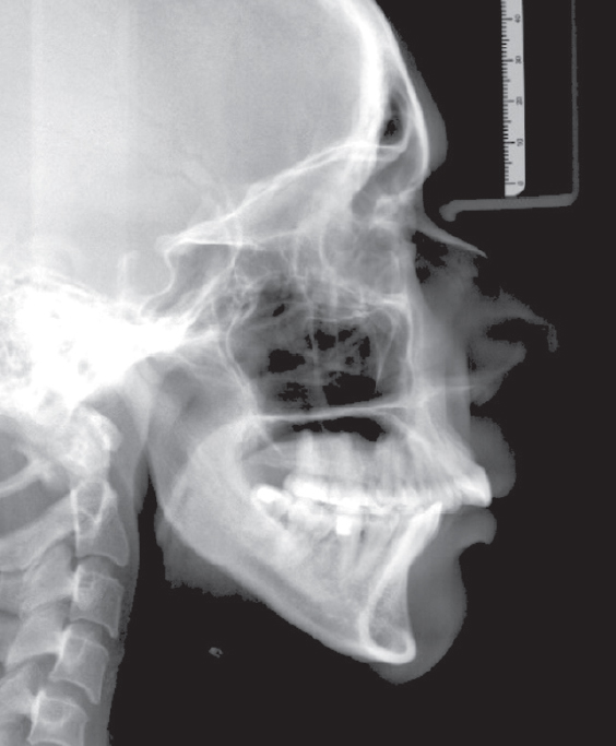
Fig. 6. Lateral cephalometric radiograph before treatment.
Рис. 6. Телерентгенограмма в боковой проекции до лечения.
The functional diagnostic tests revealed hypertonicity of the masticatory muscles: right temporalis (RTA), 4.2 µV; left temporalis (LTA), 4.3 µV; right masseter (RMM), 7 µV; left masseter (LMM), 3.5 µV. Following TENS therapy, the amplitude of the temporal and masseter muscles improved, and hypertonicity reduced relative to mean values: RTA, 3 µV; LTA, 3 µV; RMM, 3.5 µV; LMM, 2 µV.
The following diagnosis was made based on these findings: TMJ osteoarthritis. Masticatory muscle parafunction. Angle Class II molar relationships. Mandibular retrognathia. Anterior inclination of the mandible. Vertical growth pattern. Upper and lower incisor protrusion and crowding. Maxillary arch constriction. Impacted tooth 17, missing tooth 30 (ISO designations 38 and 46, respectively). Mesial inclination of teeth 32 and 31 (ISO designations 48 and 47, respectively). Localized excessive attrition of teeth. Occlusal plane deformation. Tongue parafunction. Chronic periodontitis of tooth 19 (ISO designation 36).
Following additional examinations, the treatment plan was proposed, which included occlusal splints and orthodontic treatment.
After wearing occlusal splints for 6 months (Fig. 7), a follow-up lateral cephalogram was performed. When comparing the scans, anterior displacement of the mandible was detected (Fig. 8).
Fig. 7. Dental arches with mouth guard: lateral right projection (a); posteroanterior projection (b); lateral left projection (c).
Рис. 7. Зубные ряды с каппой: боковая правая проекция (a); прямая проекция (b); боковая левая проекция (c).
Fig. 8. Lateral cephalometric radiograph: before (a) and after (b) using the mouth guard.
Рис. 8. Телерентгенограмма в боковой проекции до (a) и после (b) использования каппы.
A follow-up TMJ CT was performed after wearing occlusal splints (Fig. 9).
Fig. 9. Section of a computed tomogram of the right (a) and left (b) temporomandibular joints after using a mouth guard.
Рис. 9. Срез компьютерной томограммы правого (a) и левого височно-нижнечелюстного сустава (b) после использования каппы.
Empower braces (CuNiTi 0.14; American Orthodontics, USA) were installed on the maxilla (Figs. 10, 11).
Fig. 10. Dental arches after braces placement, lateral right projection (a), posteroanterior projection (b), left side projection (c).
Рис. 10. Зубные ряды после устновления брекет-системы: боковая правая проекция (a), передняя проекция (b), боковая левая проекция (c).
Fig. 11. Occlusal projection: the upper (a) and the lower (b) dental arches.
Рис. 11. Окклюзионная проекция верхнего (a) и нижнего (b) зубных рядов.
One month after braces were installed on the maxilla, nano-osteoperforation of the roots of teeth 7, 6, 9, 10, and 11 (ISO designations 12, 13, 21, 22, and 23, respectively) was performed, and a BioEdge 16×16 archwire was installed (Fig. 12).
Fig. 12. Dental arches after nano-osteoperforations: right lateral projection (a), posteroanterior projection (b), left lateral projection (c).
Рис. 12. Зубные ряды после нано-остеоперфораций: боковая правая проекция (a), прямая проекция (b), боковая левая проекция (c).
After installing braces on the mandible, nano-osteoperforation in FDI quadrants 3 and 4 was performed. Figs. 13 and 14 show the effect of nano-osteoperforation after 4 weeks of orthodontic treatment.
Fig. 13. Occlusal projection of the upper dental arch before (a) and after (b) nano-osteoperforations.
Рис. 13. Окклюзионная проекция верхнего зубного ряда: до (a) и после (b) нано-остеоперфорации.
Fig. 14. Occlusal projection of the lower dental arch before (a) and after (b) nano-osteoperforations.
Рис. 14. Окклюзионная проекция нижнего зубного ряда до (a) и после (b) нано-остеоперфорации.
Orthodontic microimplants were then placed in FDI quadrants 1 and 2 for occlusal plane correction (Figs. 15, 16).
Fig. 15. Dental arches, right lateral projection (a), posteroanterior projection (b), left lateral projection (c).
Рис. 15. Зубные ряды: боковая правая проекция (a), прямая проекция (b), боковая левая проекция (c).
Fig. 16. Section of computed tomography of jaws after nano-osteoperforations.
Рис. 16. Срез компьютерной томограммы челюстей после нано-остеоперфораций.
The thickness of the bone surrounding each tooth was measured before and after nano-osteoperforation (Figs. 17, 18).
Fig. 17. Sections of computed tomography of the jaws before (a) and after (b) nano-osteoperforations, in the teeth area 1.4–2.4.
Рис. 17. Срезы компьютерной томограммы челюстей до (a) и после (b) нано-остеоперфораций, в области зубов 1.4–2.4.
Fig. 18. Sections of computed tomography of the jaws before (a) and after (b) nano-osteoperforations, in the 4.4–3.4 teeth region.
Рис. 18. Срезы компьютерной томограммы челюстей до (a) после (b) нано-остеоперфораций, в области зубов 4.4–3.4.
In the majority of cases, the thickness of the cortical plate was lower than that of the trabecular bone. Nano-osteoperforations typically result in a decrease in both cortical and trabecular bone thickness, reducing the duration of orthodontic treatment. Bone thickness variations between teeth indicate heterogeneity of the surrounding bone tissue structure.
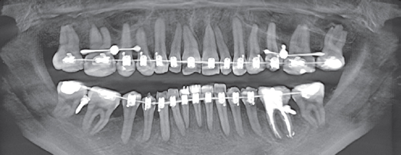
The outcomes of orthodontic treatment are presented in Figs. 19–21.
Fig. 19. Dental arches: lateral right projection (a), posteroanterior projection (b), lateral left projection (c).
Рис. 19. Зубные ряды: боковая правая проекция (a), передняя проекция (b), боковая левая проекция (c).
Fig. 20. Occlusal projection of the upper dental arch (a) and the lower dental arch (b).
Рис. 20. Окклюзионная проекция верхнего зубного ряда (a), нижнего зубного ряда (b).
Fig. 21. Photo of the patient’s face during the treatment: right three-quarter view with a smile (a), frontal view with a smile (b), left three-quarter view with a smile (c).
Рис. 21. Фотография лица пациенткина этапе лечения: 3/4 оборота с улыбкой справа (a), с улыбкой анфас (b), ¾ оборота с улыбкой слева (c).
This clinical case demonstrated a 2-fold reduction in treatment duration compared to conventional approaches.
CONCLUSION
Nano-osteoperforations promote more rapid arch expansion and improve the positioning of lower incisors. This minimally invasive technique optimizes orthodontic treatment and reduces pain in patients with maxillary and mandibular arch constriction and incisor crowding.
ADDITIONAL INFO
Authors’ contribution. Thereby, all authors confirm that their authorship complies with the international ICMJE criteria (all au-thors have made a significant contribution to the development of the concept, research, and preparation of the article, as well as read and approved the final version before its publication). Personal contribution of the authors: R.A. Fadeev, planning practical work; T.A. Shchedrina, doing the bulk of the work, analyzing and formatting the results.
Funding source. The authors claim that there is no external funding when writing the article.
Competing interests. The authors declare the absence of obvious and potential conflicts of interest related to the publication of this article.
Consent for publication. The authors received the written informed voluntary consent of the patient to publish his photographs (with his face covered) in a scientific journal, including its electronic version.
About the authors
Roman A. Fadeev
North-Western State Medical University named after I.I. Mechnikov
Email: sobol.rf@yandex.ru
ORCID iD: 0000-0003-3467-4479
SPIN-code: 4556-5177
MD, Dr. Sci. (Medicine), Professor
Russian Federation, Saint PetersburgTatiana A. Shchedrina
Medical center “Romanovsky”
Author for correspondence.
Email: tshedrina14@mail.ru
SPIN-code: 4917-9475
orthodontist
Russian Federation, Saint PetersburgReferences
- Sergeenkova AR, Drobysheva NS. Corticotomy as a sort of micro-osteoperforation in orthodontic patients. Ortodontia. 2024;(1):46–53. EDN: VRHOAL
- Shchedrina TA, Fadeev RA. Methods of accelerating orthodontic treatment. The dental institute. 2024;(1):90–91. EDN: LBATPR
- Fadeeva MR, Li PV, Rumiantsev EE, Savel’ev EC. The use of compact osteotomy in the complex rehabilitation of patients with dentoalveolar anomalies and deformations. Vestnik NovSU. 2017;(3):105–111. EDN: ZDUFGP
- Ivashenko SV, Ulashchik VS, Naumovich SA. Controlled remodeling of bone tachney in dentoalveolar anomalies and deformities in the formed bite. Minsk: BGMU; 2013. 218 p. ISBN 978-985-528-760-6 (In Russ.)
- Chuiko AN. On possibilities of biomechanical support of the orthodontic teeth treatment. Russian journal of biomechanics. 2009;13(1):45–49. EDN: JYICTR
- Gorlachova TV, Terekhova TN, Avrusevich NV. The structure of dental anomalies and the need for orthodontic treatment of persons 20–23 years old. Medical journal. 2021;(2):70–72. doi: 10.51922/1818-426X.2021.2.70 EDN: WOOOEO
Supplementary files
























