Clinical case of dental prosthetic rehabilitation in a patient with a forced position of the mandible
- Authors: Parshin V.V.1,2, Isaev T.I.2, Ovsyannikov K.A.1
-
Affiliations:
- North-Western State Medical University named after I.I. Mechnikov
- Academician I.P. Pavlov First Saint Petersburg State Medical University
- Issue: Vol 2, No 4 (2024)
- Pages: 189-196
- Section: Clinical dentistry and maxillofacial surgery
- Submitted: 15.11.2024
- Accepted: 17.12.2024
- Published: 15.12.2024
- URL: https://stomuniver.ru/unistom/article/view/641930
- DOI: https://doi.org/10.17816/uds641930
- ID: 641930
Cite item
Full Text
Abstract
The paper describes the clinical and laboratory stages of temporary and permanent restorations in a patient with a forced position of the mandible, from the initial treatment stage using a removable immobilizing splint to manufacturing permanent maxillary and mandibular tooth-supported and implant-supported restorations.
Full Text
ВВЕДЕНИЕ
Синдром вынужденного положения нижней челюсти, способ диагностики которого запатентован Р.А. Фадеевым, В.В. Паршиным, Н.В. Прозоровой и К.А. Овсянниковым в 2020 г., — это совокупность симптомов, связанных с неправильным (вынужденным) положением нижней челюсти. На 1-м этапе лечения пациентов определяют комфортное положение нижней челюсти и выполняют его стабилизацию с помощью каппы, разобщающей зубные ряды [1, 2]. Критерий завершения данного этапа лечения — отсутствие или значительное снижение клинической симптоматики со стороны височно-нижнечелюстного сустава (ВНЧС) и жевательных мышц, объективная нормализация мышечного тонуса с выравниванием симметрии, нормализация положения головок нижней челюсти в суставных впадинах [3, 4]. На 2-м этапе лечения создаются плотные окклюзионные контакты с помощью несъемных ортопедических конструкций или ортодонтическим методом [5–7].
КЛИНИЧЕСКИЙ СЛУЧАЙ
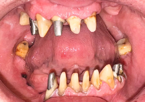
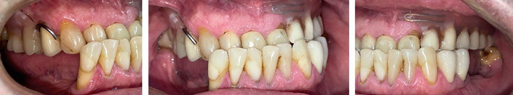
Пациент Б., 57 лет, обратился с жалобами на нарушение жевания из-за отсутствия зубов и на неудобное положение нижней челюсти. Из анамнеза: 9 лет назад пациенту на верхней и нижней челюстях были установлены дентальные имплантаты «Nobel» (Nobel Biocare, Швейцария), которые со временем дезинтегрировались (рис. 1, 2).
Рис. 1. Лицо пациента до начала стоматологического лечения
Fig. 1. Patient’s face before dental treatment
Рис. 2. Зубные ряды пациента в вынужденном положении нижней челюсти
Fig. 2. Patient’s teeth with a forced position of the mandible
До начала стоматологического лечения выполнена компьютерная томография (КТ) зубов верхней и нижней челюсти (рис. 3).
Рис. 3. Компьютерная томограмма зубов верхней и нижней челюстей до начала стоматологического лечения
Fig. 3. Computed tomography scan of the maxillary and mandibular teeth before dental treatment
На основании данных клинического и инструментального обследования поставлен диагноз: синдром вынужденного положения нижней челюсти, парафункция жевательных мышц, мезиальное соотношение зубных рядов, нижняя прогнатия, обратное резцовое перекрытие, тесное положение зубов на нижней челюсти, частичная потеря зубов, хронический генерализованный пародонтит II степени тяжести в стадии ремиссии.
Пациент отказался от коррекции мезиального соотношения зубных рядов за счет проведения нижнечелюстной остеотомии. С пациентом был согласован план стоматологического лечения, который состоял из лечения с использованием стабилизирующей каппы с последующим временным и постоянным протезированием.
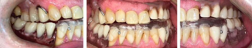
Изготовлена стабилизирующая каппа на нижнюю челюсть после чрескожной электронейростимуляции (ТЭНС-терапии) (рис. 4). Пациент использовал каппу-протез в течение 6 мес. с режимом ношения 24 ч в сутки (рис. 5).
Рис. 4. Стабилизирующая каппа
Fig. 4. Immobilizing splint
Рис. 5. Зубные ряды пациента с каппой
Fig. 5. Patient’s teeth with the immobilizing splint
После 6 мес. лечения пациенту провели оценку положения головок нижней челюсти с каппой по данным КТ (рис. 6, 7).
Рис. 6. Правый височно-нижнечелюстной сустав после лечения с каппой
Fig. 6. Right temporomandibular joint after using the splint
Рис. 7. Левый височно-нижнечелюстной сустав после лечения с каппой
Fig. 7. Left temporomandibular joint after using the splint
На этапе лечения пациента со стабилизирующей каппой выполнены костная пластика и установка дентальных имплантатов (рис. 8).
Рис. 8. Компьютерная томограмма зубов верхней и нижней челюсти после проведения костной пластики и установки дентальных имплантатов
Fig. 8. Computed tomography scan of the maxillary and mandibular teeth after bone grafting and dental implant placement
Проведено восковое моделирование в соотношении зубных рядов, полученном после лечения на каппе (рис. 9).
Рис. 9. Восковое моделирование в полученном соотношении зубных рядов
Fig. 9. Wax model of the resulting occlusion
Произведено препарирование зубов под искусственные коронки (рис. 10).
Рис. 10. Зубы, обработанные под искусственные коронки
Fig. 10. Teeth prepared for crowning
Смоделированы (рис. 11), изготовлены и установлены провизорные коронки из полиметилметакрилата (PMMA) (рис. 12).
Рис. 11. Модель провизорных коронок из полиметилметакрилата
Fig. 11. Polymethyl methacrylate temporary crown model
Рис. 12. Зафиксированы провизорные коронки из полиметилметакрилата в полости рта пациента
Fig. 12. Polymethyl methacrylate temporary crown placement
Для получения рабочих моделей челюстей зубным техником изготовлены индивидуальные ложки. Для предотвращения смещения трансферов имплантатов во время снятия оттисков изготовлены трансфер-чеки (рис. 13).
Рис. 13. Индивидуальные ложки и трансфер-чеки имплантатов на гипсовых моделях
Fig. 13. Custom trays and transfers for implants in cast models
Пациенту проведена ретракция десны, использована методика двойных нитей. Трансфер-чеки соединены композитным материалом (рис. 14).
Рис. 14. Установлены ретракционные нити и трансфер-чеки соединены композитным материалом
Fig. 14. Retraction cord placement, with transfers fixed by a composite material
Сняты силиконовые оттиски с верхней и нижней челюсти с использованием сэндвич техники (рис. 15).
Рис. 15. Силиконовые оттиски с верхней и нижней челюсти
Fig. 15. Silicone impressions of the maxilla and mandible
Изготовлены разборные гипсовые модели верхней и нижней челюсти (рис. 16).
Рис. 16. Разборные гипсовые модели верхней и нижней челюсти
Fig. 16. Split casts of the maxilla and mandible
Гипсовые модели челюстей установлены в артикулятор «Stratos 200» (Ivoclar, Лихтенштейн) с использованием лицевой дуги, ориентированной по камперовской горизонтали (рис. 17).
Рис. 17. Гипсовые модели челюстей установлены в артикулятор
Fig. 17. Cast models mounted in the articulator
Выполнено пилотное моделирование окончательных коронок (рис. 18). В связи с тем, что высота клинических коронок во 2-м и 4-м сегментах достигла 28,5 мм, а возможная высота циркониевого блока — 25 мм, принято решение об изготовлении циркониевых балок с последующей фиксацией окончательных коронок (рис. 19).
Рис. 18. Пилотное моделирование окончательных коронок
Fig. 18. Pilot modeling of permanent crowns
Рис. 19. Моделирование циркониевых балок и окончательных коронок
Fig. 19. Zirconium bar and permanent crown modeling
Выравнивание окклюзионной плоскости циркониевыми балками (рис. 20).
Рис. 20. Установленные циркониевые балки
Fig. 20. Zirconium bar placement
Зафиксированы окончательные коронки на гипсовых моделях челюстей (рис. 21) и в артикуляторе (рис. 22).
Рис. 21. Окончательные коронки на гипсовых моделях челюстей
Fig. 21. Permanent crowns on cast models
Рис. 22. Окончательные коронки в артикуляторе
Fig. 22. Permanent crowns in the articulator
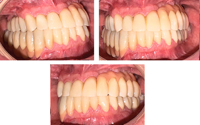
Фотографии окончательных протезов в полости рта (рис. 23).
Рис. 23. Окончательные протезы в полости рта
Fig. 23. Permanent restoration placement
За счет создания имитации розовой десны на циркониевых балках удалось камуфлировать наклон верхней челюсти, полученный в результате первичной дезинтеграции имплантатов (рис. 24).
Рис. 24. Фотография лица пациента с окончательными коронками
Fig. 24. Photo of the patient’s face with permanent crowns
Зафиксирована улыбка пациента с окончательными протезами (рис. 25).
Рис. 25. Улыбка пациента с окончательными протезами
Fig. 25. Patient’s smile with permanent restorations
Выполена КТ зубов верхней и нижней челюсти с окончательными протезами (рис. 26).
Рис. 26. Компьютерная томограмма зубов верхней и нижней челюстей с окончательными протезами
Fig. 26. Computed tomography scan of the maxillary and mandibular teeth with permanent restorations
После лечения проанализировано положение головок нижней челюсти в суставных впадинах по данным КТ ВНЧС (рис. 27).
Рис. 27. Компьютерная томограмма височно-нижнечелюстного сустава после лечения: а — правый; b — левый
Fig. 27. Computed tomography scan of the temporomandibular joint after treatment: а, right; b, left
Для предотвращения сколов искусственных коронок изготовлена штампованная каппа на верхнюю челюсть пациента толщиной 0,75 мм для ночного ношения (рис. 28).
Рис. 28. Штампованная каппа на верхнюю челюсть
Fig. 28. Swaged splint for the maxilla
ЗАКЛЮЧЕНИЕ
Синдром вынужденного положения нижней челюсти проявляется совокупностью симптомов, требующих индивидуального подхода к диагностике и лечению [8, 9]. В статье представлен клинический случай поэтапного лечения пациента с синдромом вынужденного положения нижней челюсти с созданием 6 ключей окклюзии по Эндрюсу. В случае использования стандартного протокола протезирования по окончании лечения у пациента сохранилась привычная окклюзия с мезиальным соотношением зубных рядов и обратным резцовым перекрытием. Использование комплексного подхода повысило эффективность реабилитации пациента с данной патологией.
ДОПОЛНИТЕЛЬНАЯ ИНФОРМАЦИЯ
Вклад авторов. Все авторы внесли существенный вклад в проведение исследования и подготовку статьи, прочли и одобрили финальную версию перед публикацией.
Вклад каждого автора: В.В. Паршин — написание текста, внесение окончательной правки; Т.И. Исаев, К.А. Овсянников — сбор и обработка материалов.
Источник финансирования. Лечение пациента было проведено на базе НИИ стоматологии и челюстно-лицевой хирургии ПСПбГМУ им. И.П. Павлова.
Конфликт интересов. Авторы декларируют отсутствие явных и потенциальных конфликтов интересов, связанных с публикацией настоящей статьи.
Информированное согласие на публикацию. Авторы получили письменное согласие пациента на публикацию медицинских данных и фотографий.
Заключение этического комитета. Протокол исследования был одобрен локальным этическим комитетом НИИ стоматологии и челюстно-лицевой хирургии ПСПбГМУ им. И.П. Павлова (протокол № 1305 от 15.05.2015).
Благодарности. Авторы признательны среднему медицинскому персоналу НИИ стоматологии и челюстно-лицевой хирургии ПСПбГМУ им. И.П. Павлова за помощь в оказании стоматологического лечения. Отдельная благодарность — зубному технику О.Г. Умыскову.
ADDITIONAL INFO
Author contribution. Thereby, all authors confirm that their authorship complies with the international ICMJE criteria (all authors have made a significant contribution to the development of the concept, research, and preparation of the article, as well as read and approved the final version before its publication).
Personal contribution of the authors: V.V. Parshin — writing the text, making final edits; T.I. Isaev — collection and processing of materials; K.A. Ovsyannikov — collection and processing of materials.
Funding source. The patient was treated at the Research Institute of Dentistry and Maxillofacial Surgery of the Pavlov First Saint Petersburg State Medical University.
Competing interests. The authors declare the absence of obvious and potential conflicts of interest related to the publication of this article.
Consent for publication. Written consent was obtained from the patient for publication of relevant medical information and all of accompanying images within the manuscript.
Ethics approval. The protocol of the study was approved by the local Ethics Committee of the Pavlov First Saint Petersburg State Medical University (Protocol No. 1305, 15.05.2015).
Acknowledgments. The authors are grateful to the nursing staff of the Research Institute of Dentistry and Maxillofacial Surgery of the Pavlov First Saint Petersburg State Medical University for assistance in providing dental treatment. Special thanks to dental technician O.G. Umyskov.
About the authors
Vasiliy V. Parshin
North-Western State Medical University named after I.I. Mechnikov; Academician I.P. Pavlov First Saint Petersburg State Medical University
Author for correspondence.
Email: vasiliy-v-parshin@yandex.ru
ORCID iD: 0000-0003-3783-3412
SPIN-code: 5164-0998
MD, Cand. Sci. (Medicine), assistant, North-Western State Medical University named after. I.I. Mechnikov; orthodontist, Research Institute of Dentistry and Maxillofacial Surgery, Pavlov First Saint Petersburg State Medical University
Russian Federation, 191015, Saint Petersburg, Kirochnaya st., 41; Saint PetersburgTazhudin I. Isaev
Academician I.P. Pavlov First Saint Petersburg State Medical University
Email: tazhudinisaev@yandex.ru
Russian Federation, Saint Petersburg
Konstantin A. Ovsyannikov
North-Western State Medical University named after I.I. Mechnikov
Email: kons83@mail.ru
ORCID iD: 0009-0000-9890-5884
SPIN-code: 6477-7501
MD, Cand. Sci. (Medicine), assistant professor
Russian Federation, 191015, Saint Petersburg, Kirochnaya st., 41References
- Khvatova VA. Functional diagnostics and treatment in dentistry. Moscow: Medical book; 2007. 294 p.
- Dubova LV, Prysyazhnykh SS, Romankova NV, Malakhov DV. Analysis of functional methods for determining the optimal position of the mandible. Periodontology. 2020;25(1):22–25. EDN: GFYMVU doi: 10.33925/1683-3759-2020-25-1-22-25
- Patent RUS № 2193864/ 10.12.02. Sungurov MV, Nazarov AM. Method for determining therapeutic position of lower jaw with enhanced dental abrasion. Available from: https://patents.google.com/patent/RU2737584C1/ru (In Russ.)
- Fadeev RA, Parshin VV. To the question of determining the central position of the lower jaw. The Dental Institute. 2023;(1):70–71. EDN: ISWXTM
- Popov SA, Popov AS. Comparative evaluation and efficiency of deprogrammers at the stage of functional diagnostics. Orthodontics. 2022;(3):67. (In Russ.) EDN: IRCSRJ
- Silin AV, Basieva EV, Milutka YA, et al. Effectiveness of orthodontic and osteopathic correction in patients with dentoalveolar anomalies and musculo-articular dysfunctions of the temporomandibular joint in the presence of concomitant somatic dysfunctions and without them. Russian Osteopathic Journal. 2021;(4):63–74. EDN: GQBFYB doi: 10.32885/2220-0975-2021-4-63-74
- Manfredini D. Current concepts on temporomandibular disorders. London: Quintessence Publishing; 2010. P. 153–168.
- Ronkin KZ. Clinical substantiation of percutaneous electroneurostimulation method application in complex rehabilitation of patients with partial tooth loss and symptoms of temporomandibular joint dysfunction [dissertation abstract]. Moscow; 2019. 228 p. Available from: https://www.dissercat.com/content/klinicheskoe-obosnovanie-primeneniya-metoda-chreskozhnoi-elektroneirostimulyatsii-v-kompleks (In Russ.) EDN: EILPDS
- Okeson JP. The management of temporomandibular disorders and occlusion. St. Louis: Mosby-Year Book; 2003. 685 p.
Supplementary files































