Mandibular Angle Components and their Role in Clinical Dentistry
- Authors: Dmitrienko T.D.1, Yagupova V.T.1, Yukhnov I.N.1
-
Affiliations:
- Volgograd State Medical University
- Issue: Vol 2, No 3 (2024)
- Pages: 131-140
- Section: Clinical dentistry and maxillofacial surgery
- Submitted: 18.06.2024
- Accepted: 23.09.2024
- Published: 02.11.2024
- URL: https://stomuniver.ru/unistom/article/view/633522
- DOI: https://doi.org/10.17816/uds633522
- ID: 633522
Cite item
Full Text
Abstract
BACKGROUND: Mandibular angle components enable assessment of relevance during variant anatomy studies and help in the diagnosis of gnatic malocclusion.
AIM: To determine the key parameters of mandibular angle components and their role in clinical dentistry.
MATERIALS AND METHODS: A retrospective analysis of 65 teleradiology scans with signs of physiologic occlusion, 12 X-ray images with mesial occlusion, and 16 X-ray images with distal occlusion was performed. The Go mandibular angle point was used for drawing a vertical line perpendicular to the skull base line N-Se. The resulting gonional vertical line divided the mandibular angle into two components: the mandibular ramus angle and the mandibular body angle.
RESULTS: Regardless of the mandibular angle, the mandibular ramus line deviated from the gonional vertical line by 6° to 9°. In Angle Class III malocclusions, the mean mandibular ramus angle was 18.03°±1.22°. Distal occlusion was characterized by an angle of less than 5°. Gnatic malocclusions were characterized by a sagittal line that was not parallel to the nasal and subnasal vertical line and tangent to the mandibular ramus.
CONCLUSIONS: Variability in mandibular angle components due to the growth of the gnathic face part has been identified. The study findings can be used in clinical practice for the diagnosis of malocclusion and complex treatment planning.
Full Text
ВВЕДЕНИЕ
Вариантная анатомия нижней челюсти описана морфологами и клиницистами в учебной и научной литературе [1]. В исследованиях представлены варианты величины нижнечелюстного угла, отмечены параметры тела, ветви и альвеолярной части в пропорциональной взаимосвязи.
Основные структурные составляющие краниофациального комплекса, их линейные и угловые параметры в прижизненных условиях, как правило, определяются рентгенологическими методами исследования. Одним из распространенных методов рентгенологического исследования в клинической стоматологии считается телерентгенография [2]. Метод телерентгенологического исследования, особенно выполненный в боковой проекции, позволяет с большой вероятностью определять типы роста лицевого отдела головы, в частности его гнатической части [3–5]. В указанных исследованиях представлены показатели нижнечелюстного угла, что применимо в клинике ортодонтии для оценки типа роста челюсти [6]. Особенности нижнечелюстного угла легли в основу классификации типов лица, основанной на законах гнатологии [7].
Не исключено влияние одонтометрических показателей на форму и размеры дентальных арок, которые в свою очередь определяют размеры челюстных костей [8]. К тому же определяется половой диморфизм зубов и челюстей, которые коррелируют с размерами гнатической части лица [9]. Специалисты обратили внимание на тот факт, что размеры зубов оказывают влияние на параметры челюстей и лица в целом [10]. Тем не менее, рассматривая этот вопрос, исследователи не указали особенности угла нижней челюсти при изучаемом одонтометрическом показателе.
Для анализа боковых телерентгенограмм врач-ортодонт использует общепринятые точки, после соединения которых, измеряются линейные размеры в сагиттальном, вертикальном и диагональном направлениях [11, 12].
Более подробный анализ формы зубных дуг представлен исследованиями, оценивающими вариабельность физиологических окклюзионных взаимоотношений [13, 14]. Авторы определили гнатические и дентальные индексы, позволяющие оценить типологические особенности зубных дуг с целью проведения диагностических и лечебно-профилактических мероприятий.
При брахигнатической форме чаще встречается ретрузионный тип зубных дуг, особенно при нормо- и микродентальных типах зубных систем [15]. При долихогнатических вариантах характерной особенностью зубных дуг является физиологическая протрузия резцов [16]. Авторы исследований отметили, что трузионный тип зубных дуг оказывает влияние и на размеры челюстей в сагиттальном направлении.
Размеры зубных дуг по трансверсали также имеют различия у людей с брахи- и долихогнатическими вариантами физиологической окклюзии [17]. Исследователи рекомендуют использовать различные методы диагностики. В то же время в приведенных наблюдениях отсутствуют сведения о влиянии нижнечелюстного угла и его составляющих на форму зубных дуг и линейные параметры челюстей.
Не вызывает сомнения факт влияния аномалий челюстно-лицевой области на размеры основных анатомических структур краниофациального комплекса [18]. В работе показана вариантная анатомия нижней челюсти при физиологической и патологической окклюзии.
Специалисты обращают внимание на особенности микроциркуляции пародонтальных тканей на этапах лечения больных с аномалиями окклюзии [19–21].
Наиболее выраженные морфологические изменения в челюстно-лицевой области определяются у людей с мезиальной и дистальной окклюзией, относящимся к аномалиям в сагиттальном направлении [22, 23]. В работах представлены основные параметры челюстей, уделено внимание строению нижнечелюстного сустава и мышечному комплексу. Однако не показаны особенности угла нижней челюсти, в частности расположения ветви и мандибулярной плоскости.
Наибольшая вариабельность угловых и линейных параметров нижней челюсти представлена специалистами, оценивающими указанные параметры у детей в период сменного прикуса [24].
Большая часть морфологических исследований челюстно-лицевой области и зубочелюстных дуг проводилась у людей с постоянным прикусом и была направлена на обоснование выбора методов лечения пациентов с аномалиями окклюзии [25, 26]. Авторы данных работ определили показания к лечению техникой эджуайс, с учетом торковых значений зубов. Однако не указаны особенности расположения окклюзионной линии и других вертикальных и горизонтальных параметров челюстных костей, определяющих биомеханику жевательного аппарата.
Особенности угла нижней челюсти оказывают влияние на положение окклюзионной плоскости и определяют показания к использованию аппаратов для ее нормализации [27, 28].
Учитывая многообразие форм аномалий окклюзии и размеров челюстей, предложены алгоритмы лечения пациентов [29, 30].
В доступной литературе мы не встретили сведений о вариантной анатомии и размерах альвеолярной части и тела нижней челюсти, как при физиологической, так и при патологической окклюзии, что определило актуальность и цель работы.
Цель исследования — определить основные параметры составных частей угла нижней челюсти и их значение в клинической стоматологии.
МАТЕРИАЛЫ И МЕТОДЫ
Проведен анализ телерентгенограмм у пациентов молодого возраста (18–25 лет) с различными вариантами физиологического прикуса. Исследование было ретроспективным, анализировались архивные материалы стоматологических кафедр Волгоградского государственного медицинского университета. Дизайн исследования включал стратификацию рентгенограмм по признаку принадлежности к величине нижнечелюстного угла. В 1-ю группу включали телерентгенограммы, на которых нижнечелюстной угол составлял 119–123° и был свойственен нейтральному типу роста челюстей. Во 2-й группе величина угла составляла более 124° (вертикальный тип), а в третьей группе — менее 118° (горизонтальный тип).
Рентгенограммы проанализировали после перенесения фотографий в программу Microsoft Power Point в масштабе 1:1 по прилагаемой к телерентгенограмме линейке. На выбранные для исследования ориентиры устанавливали точки, которые соединяли линиями с последующим измерением параметров.
Измерения нижнечелюстного угла проводили по касательным линиям к ветви и телу нижней челюсти, через выступающие точки. На ветви использовали точку выпуклости задней поверхности головки нижней челюсти (точка Со) и задней поверхности угла (Т2). Мандибулярную линию проводили через точки Т1 и Ме. Место соединение указанных линий определяло положение конструктивной точки гонион Go.
В качестве вспомогательных ориентиров использовалась линия N-Se, соединяющая середину входа в турецкое седло с передней точкой носолобного шва. К указанной горизонтали из точки N опускали перпендикуляр, обозначаемый как «назальная вертикаль», которая позволяла определять углы наклона к ней окклюзионной и мандибулярной линий.
Точка угла нижней челюсти Go служила ориентиром для построения вертикали, перпендикулярной к линии основания черепа N-Se, место пересечения обозначали как точку Go’. Полученная гониональная вертикаль делила угол нижней челюсти на 2 составляющие: угол ветви (Go’-Go-Co) и угол тела (Go’-Go-Me) нижней челюсти.
Кроме этого, из точки Go в переднем направлении проводили линию до супраментальной точки Downs B(SM) располагающейся в наиболее углубленном месте переднего контура нижней челюсти. Линия Go-B(SM) условно разграничивала альвеолярную часть и тело нижней челюсти и позволяла измерять угол между нижней апикальной линий и гониональной вертикалью B(SM)-Go-Go’ и угол тела челюсти B(SM)-Go-Me (рис. 1).
Рис. 1. Расположение ориентировочных точек (а) и диагностических линий (b) для исследования составных частей нижнечелюстного угла при нейтральном типе роста
Fig. 1. Reference points (а) and diagnostic lines (b) for assessing mandibular angle components in neutral growth
Окклюзионная линия соединяла переднюю и заднюю точки окклюзии, обозначаемые в ортодонтической практике как точки vPOcP и hPOcP. Назально-субназальная линия, соединяющая кожные точки (n-sn), использовалась нами для сравнения с касательной линией ветви челюсти, которые, как правило, были параллельны.
При анализе использовали расчет средних величин и ошибки репрезентативности (M ± m) в таблицах Excel программного обеспечения персонального компьютера.
РЕЗУЛЬТАТЫ И ИХ ОБСУЖДЕНИЕ
В ходе исследования 65 телерентгенограмм пациентов с физиологическим прикусом установлено, что нейтральный тип угла нижней челюсти встречался в 27 случаях, что составило 41,54 ± 6,11 % от числа проанализированных снимков и определило 1-ю группу исследования.
В данной группе среднее значение нижнечелюстного угла составило 120,81° ± 1,46°. При этом, угол отклонения ветви от гониональной вертикали (угол Go’-Go-Co) составил 7,46° ± 0,93°.
Вторая составляющая нижнечелюстного угла, а именно угол Go’-Go-Me, составила 113,41° ± 1,43°. При анализе углов тела нижней челюсти с альвеолярной ее частью было отмечено, что угол Go’-Go-В составлял 95,22° ± 2,14°, а величина угла тела нижней челюсти В-Go-Me — 18,13° ± 1,93° (рис. 1).
В исследуемой группе угол, образованный назальной вертикалью лица и окклюзионной плоскостью, составлял 81,85° ± 2,09°, с мандибулярной плоскостью — 66,65° ± 1,43°, а с линией В-Go — 84,78° ± 2,14°.
Во 2-й группе исследования было проанализировано 20 телерентгенограмм, что составило 30,77 ± 5,42 % от общего количества снимков.
В данной группе среднее значение нижнечелюстного угла составило 126,49° ± 1,05°, что было достоверно больше (р < 0,05), чем в 1-й группе и характерно для вертикального типа роста челюстей. При этом угол касательной к ветви от гониональной вертикали (Go’-Go-Co) составил 8,18° ± 0,85°, что практически не отличалось от аналогичного показателя, полученного в 1-й группе (р > 0,05). Вторая составляющая нижнечелюстного угла, а именно угол Go’-Go-Me, равнялся 118,32° ± 1,43°, что достоверно больше (р < 0,05), чем в 1-й группе.
При анализе угла между телом нижней челюсти и ее альвеолярной частью было отмечено, что угол Go’-Go-В незначительно превышал значения 1-й группы и составлял 98,20° ± 2,64°, однако разница была недостоверной (р > 0,05). Величина угла тела нижней челюсти В-Go-Me равнялась 20,12° ± 1,94° (рис. 2, а).
Рис. 2. Особенности расположения составных частей нижнечелюстного угла при вертикальном (а) и горизонтальном (b) типах роста челюстей
Fig. 2. Positions of mandibular angle components in vertical (а) and horizontal growth (b)
Во 2-й группе угол, образованный назальной вертикалью лица и окклюзионной плоскостью, составлял 81,3° ± 3,15° и не имел достоверных различий с показателями 1-й группы. Назальная вертикаль лица образовывала с мандибулярной плоскостью угол в 61,69° ± 1,55°, что было достоверно меньше, чем в 1-й группе. Назальная вертикаль образовывала с линией В-Go угол величиной 81,79° ± 2,64°, что не имело достоверных различий с данными 1-й группы.
Таким образом, у людей с вертикальным типом роста челюстей угол отклонения ветви челюсти от гониональной линии практически не отличался от показателей 1-й группы, однако величина гонионально-ментального угла (Go’-Go-Me) была достоверно больше.
В 3-й группе исследования было проанализировано 18 снимков, что составило 27,69 ± 5,55 % от общего количества снимков.
В данной группе среднее значение нижнечелюстного угла составило 115,41° ± 1,11°, что было достоверно меньше (р < 0,05), чем в 1-й и 2-й группах и характерно для горизонтального типа роста челюстей. При этом, угол между гониональной вертикалью и касательной к ветви, составил 6,67° ± 1,78°, что практически не отличалось от аналогичного показателя, полученного в других группах (р < 0,05). Вторая составляющая нижнечелюстного угла, а именно угол Go’-Go-Me, был 108,79° ± 1,72°, что было достоверно меньше (р < 0,05), чем в 1-й и 2-й группах.
Анализируя углы тела нижней челюсти с альвеолярной ее частью было отмечено, что величина угла Go’-Go-В незначительно превышала значения 1-й группы и составляла 93,94° ± 3,15°, однако разница была недостоверной (р > 0,05). Величина угла тела нижней челюсти В-Go-Me была меньше, чем в других группах и составляла 14,83° ± 1,94° (рис. 2, b).
В исследуемой группе угол, образованный назальной вертикалью лица и окклюзионной плоскостью, составлял 81,72° ± 3,81° и не имел достоверных различий с показателями других групп исследования.
Назальная вертикаль лица с мандибулярной плоскостью образовывала угол в 71,22° ± 1,71°. Назальная вертикаль образовывала с линией В-Go угол величиной 86,06° ± 3,15°, что не имело достоверных различий с данными других анализируемых групп.
Таким образом, у пациентов с горизонтальным типом роста лица угол отклонения ветви челюсти от гониональной линии практически не отличался от показателей 1-й группы, однако величина гонионально-ментального угла (Go’-Go-Me) была достоверно меньше (рис. 2, b).
Обращает на себя внимание тот факт, что независимо от величины угла нижней челюсти при всех вариантах назально-субназальная вертикаль мягких тканей лица была практически параллельна касательной линии к ветви челюсти. При этом отклонение линии ветви челюсти от гониональной вертикали составляло от 6° до 9°. Вариабельность наклона мандибулярной плоскости, как правило, коррелировала с величиной угла нижней челюсти.
Полученные данные исследования составных частей угла нижней челюсти были основополагающими для анализа аналогичных параметров при аномалиях прикуса в сагиттальном направлении.
На втором этапе исследования было проанализировано 12 рентгеновских снимков пациентов с мезиальной окклюзией и 16 телерентгенограмм с признаками дистальной окклюзии.
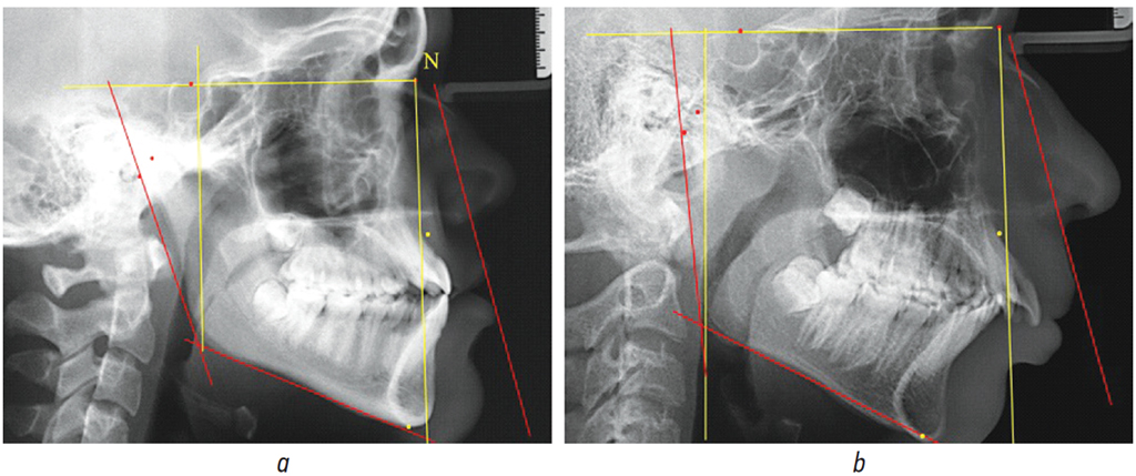
Величина нижнечелюстного угла как при мезиальной, так и при дистальной окклюзии варьировала в широких пределах. Встречались варианты с вертикальным и горизонтальным типом роста челюстей. Некоторые клинические варианты телерентгенограмм пациентов с аномалиями прикуса в сагиттальном направлении представлены на рисунке 3.
Рис. 3. Особенности расположения составных частей нижнечелюстного угла при мезиальной (а) и дистальной (b) окклюзии
Fig. 3. Positions of mandibular angle components in mesial (а) and distal occlusion (b)
При исследовании телерентгенограмм с мезиальной окклюзией, установлено, что отличительной особенностью является увеличение угла отклонения ветви нижней челюсти от гониональной вертикали. Средняя величина угла Go’-Go-Co составляла 18,03° ± 1,22°, что характеризовало гнатическую форму мезиального соотношения зубных рядов.
Для дистальной окклюзии характерно уменьшение угла Go’-Go-Co менее чем на 5°. При гнатических формах аномалий окклюзии отмечалась непараллельность назально-субназальной вертикали и касательной к ветви челюсти.
ВЫВОДЫ
- Гониальная вертикаль, перпендикулярная линии переднего основания черепа, делит нижнечелюстной угол на 2 неравные части. При этом угол отклонения касательной линии ветви от гониальной вертикали не имел достоверных различий между исследуемыми группами и составлял в среднем около 8°.
- При нейтральной величине угла мандибулярная линия отклонялась от гониальной вертикали в среднем на 113,4° ± 1,4°.
- При вертикальном типе строения лица величина угла между гониальной вертикалью и мандибулярной линией была достоверно больше (р < 0,05) и составляла 118,3° ± 1,4°, а при горизонтальном типе, существенно меньше, чем в других группах, а именно 108,8° ± 1,7°.
ЗАКЛЮЧЕНИЕ
В результате исследования предложено анализировать составные части нижнечелюстного угла, разграниченные по вертикали и сагиттали, линиями, выходящими из точки Go. Установлена вариабельность составных частей нижнечелюстного угла, обусловленная типом роста гнатического отдела лица. При физиологической окклюзии величина отклонения ветви челюсти от условной гонианальной вертикали составляла 6–8° вне зависимости от величины угла челюсти. Исследуемый угол при мезиальной окклюзии увеличивался и составлял в среднем 18,03° ± 1,22°, что было достоверно больше (р < 0,05), чем при физиологических вариантах окклюзии. Для дистальной окклюзии была характерна величина угла менее 5°. Полученные данные могут быть полезны при изучении вариантной анатомии нижней челюсти, а также в клинической практике врачей стоматологов и челюстно-лицевых хирургов для дифференциальной диагностики гнатических и зубо-альвеолярных аномалий прикуса и определения тактики комплексного лечения пациентов.
ДОПОЛНИТЕЛЬНАЯ ИНФОРМАЦИЯ
Вклад авторов. Все авторы внесли существенный вклад в подготовку статьи, прочли и одобрили финальную версию перед публикацией. Личный вклад каждого автора: Т.Д. Дмитриенко — определение дизайна исследования, написание и редактирование текста рукописи; В.Т. Ягупова — сбор материала, анализ полученных данных, И.Н. Юхнов — разработка методов исследования угла нижней челюсти на телерентгенограммах, описание методов исследования.
Источник финансирования. Авторы заявляют об отсутствии внешнего финансирования при написании статьи.
Конфликт интересов. Авторы декларируют отсутствие явных и потенциальных конфликтов интересов, связанных с публикацией настоящей статьи.
Этический комитет. Материал статьи демонстрирует анализ литературы о методах определения особенностей нижнечелюстного угла, уделяя особое внимание его составных частей.
Информированное согласие на публикацию. Все участники добровольно подписали форму информированного согласия до публикации статьи.
ADDITIONAL INFORMATION
Authors’ contribution. All the authors made a significant contribution to the preparation of the article, read and approved the final version before publication. Personal contribution of each author: T.D. Dmitrienko — determine the design of the study, writing and editing the text of the manuscript; V.T. Yagupova — collection of material, analysis of the data obtained, I.N. Yukhnov — development of methods for studying the angle of the lower jaw on teleradiography, description of the chapter of research methods.
Funding source. The authors claim that there is no external funding when writing the article.
Competing interests. The authors declare the absence of obvious and potential conflicts of interest related to the publication of this article.
Ethics approval. The article demonstrates the analysis of the literature on methods for determining the features of the mandibular angle, paying special attention to its components.
Informed consent to publication. All participants voluntarily signed an informed consent form prior to the publication of the article.
About the authors
Tatyana D. Dmitrienko
Volgograd State Medical University
Email: svdvolga@yandex.ru
ORCID iD: 0000-0002-0935-5575
SPIN-code: 6118-8965
MD, Cand. Sci. (Med.), Associate Professor
Russian Federation, VolgogradVioleta T. Yagupova
Volgograd State Medical University
Email: violeta.yagupova@mail.ru
SPIN-code: 5404-5893
MD, Cand. Sci. (Med.)
Russian Federation, VolgogradIlya N. Yukhnov
Volgograd State Medical University
Author for correspondence.
Email: ilyuyhnov@bk.ru
SPIN-code: 3554-5287
Assistant
Russian Federation, VolgogradReferences
- Krayushkin AI, Vorobyev AA, Aleksandrova LI, et al. Normal anatomy of the head and neck. Moscow; 2012. 288 p. (In Russ.)
- Domenyuk DA, Porfyriadis MP. Major telerenthengogram indicators in people with various growth types of facial area. Archiv EuroMedica. 2018;8(1):19–24. EDN: XSOJDF doi: 10.35630/2199-885X/2018/8/1/19
- Domenyuk DA, Davydov BN, Vedeshina EG, Dmitrienko SV. Radiological and morphometric methods for comprehensive assessment of cephalo-odontologic status in dental patients (Part I). The dental institute. 2017;(2):58–61. EDN: YUEDYJ
- Domenyuk DA, Davydov BN, Vedeshina EG, Dmitrienko SV. Radiological and morphometric methods for comprehensive assessment of cephalo-odontologic status in dental patients (Part II). The dental institute. 2017;(3):32–35. EDN: ZRDQZN
- Domenyuk DA, Korobkeev AA, Vedeshina EG, et al. Roentgeno-morphometric methods in the assessment of cephalo-odontological status of patients with formed orthognathic bite of permanent teeth. Stavropol: Stavropol State Medical University Press; 2015. 76 p. (In Russ.)
- Korobkeev AA, Domenyuk DA, Shkarin VV, Dmitrienko SV. Types off acial heart depth in physiological occlusion. Medical news of the North Caucasus. 2018;13(4):627–630. EDN: SSXMHR doi: 10.14300/mnnc.2018.13122
- Domenyuk DA, Shkarin VV, Porfiriadis MP, et al. Classification of facial types in view of gnathology. Archiv euromedica. 2017;7(1):8–13. EDN: ZDIYWR
- Samusev RP, Dmitrienko SV, Krayushkin AI. Fundamentals of clinical morphology of teeth. Moscow; 2002. 368 p. (In Russ.)
- Domenyuk DA, Davydov BN, Dmitrienko SV, et al. Variability of cephalometric indices in men and women with mesocefalic form of the head and various constitutional types of face (Part I). The dental institute. 2018;(1):70–73. EDN: UPPLMC
- Korobkeev AA, Tsaturyan LD, Vedeshina EG. Features of maxillofacial region in macrodontism of permanent teeth. Stavropol: Stavropol State Medical University Publ.; 2016. 159 p. (In Russ.)
- Dmitrienko SV, Shkarin VV, Dmitrienko TD. Methods of biometric study of dento-mandibular arches. Volgograd: VolgGMU Publ.; 2022. 220 p. (In Russ.)
- Shkarin VV, Dmitrienko TD, Kochkonyan TS, et al. Analysis of classical and modern methods of biometric examination of dental arches in the period of permanent teeth (literature review). Journal of Volgograd State medical university. 2022;19(1):9–16. EDN: RZKFLT doi: 10.19163/1994-9480-2022-19-1-9-161
- Domenyuk DA, Vedeshina EG, Kochkonyan TS, et al. Morphometric analysis of the shape of upper dentoalveolar arches with physiologic occlusion of permanent teeth. The dental institute. 2015;(1):75–77. EDN: TOMSUB (In Russ.)
- Domenyuk DA, Korobkeev AA, Tsaturyan LD, Vedeshina EG. Variations in the structure of facial skeleton dimensions and tooth rows in mesocephals. Stavropol; 2016. 140 p. (In Russ.)
- Domenyuk DA, Davydov BN, Vedeshina EG, et al. Major morphometric parameters of dental arches in people with brachygnathic dental arch and macro-, micro-, and normodontic dental systems. The dental institute. 2015;(3):44–47. EDN: UIYIKT
- Domenyuk DA, Davydov BN, Vedeshina EG, Dmitrienko SV. Sagittal and transversal dimensions of dolichognathic dental arches in humans with macrodontia, microdontia, and normodontia. The dental institute. 2016;(2):60–63. EDN: WFLWKT
- Domenyuk DA, Vedeshina EG. Mistakes in Pont (Linder-Hart) method used for diagnosing abnormal dental arches in transversal plane. Archiv euromedica. 2016;6(2):23–26. EDN: YPCRYH
- Vorobyev AA, Krayushkin AI. Morphologic features of maxillofacial region in anomalies and deformities and methods of their diagnostics. Textbook. Saint Petersburg; 2009. 144 p. (In Russ.)
- Domenyuk DA, Davydov BN, Dmitrienko SV, et al. Changes of the morphological state of tissue of the paradontal complex in the dynamics of orthodontic transfer of teeth (experimental study). Parodontologiya. 2018;23(1):69–78. EDN: XNSCQP doi: 10.25636/PMP.1.2018.1.15
- Domenyuk DA, Chukov SZ, Vedeshina EG, et al. Morphology of dental and periodontal tissues under dosed loading. Stavropol: StGMU Publ.; 2016. 244 p. (In Russ.)
- Davydov BN, Domenyuk DA, Dmitrienko SV. Peculiarities of microcirculation in peridont tissues in children of key age groups sufficient type 1 diabetes. Part I. Parodontologiya. 2019;24(1–24):4–10. EDN: YZKXMD doi: 10.25636/PMP.1.2019.1.1
- Domenyuk DA, Konnov BB, Vedeshina EG, et al. Pathogenesis, clinic and methods of treatment of musculo-articular dysfunction in dental patients with sagittal occlusion anomalies. Stavropol: StSMU Publ.; 2015. 238 p. (In Russ.)
- Domenyuk DA, Vedeshina EG, Dmitrienko SV. Efficiency evaluation for integrated approach to choice of orthodontic and prosthetic treatments in patients with reduced gnathic region. Archiv EuroMedica. 2015;5(2):6–12. EDN: VKSMNZ
- Davydov BN, Domenyuk DA, Dmitrienko SV, et al. Morphological peculiarities of facial skelet structure and clinical and diagnostic approaches to the treatment of dental anomalies in children in the period of early change. Pediatric dentistry and dental prophylaxis. 2019;19(1): 26–38. EDN: YPEQEX doi: 10.33925/1683-3031-2019-19-69-26-38
- Domenyuk DA, Davydov BN, Dmitrienko SV, Vedeshina EG. Biometric justification of main linear dimensions of the dental arches in orthodontic treatment tactics’ development using edgewise orthodontic technique (Part I). The dental institute. 2016;(1):76–78. EDN: VTOFQJ
- Domenyuk DA, Davydov BN, Dmitrienko SV, Vedeshina EG. Biometric justification of main linear dimensions of the dental arches in orthodontic treatment tactics’ development using edgewise orthodontic technique (Part II). The dental institute. 2016;(2):66–67. EDN: WFLWLN
- Shkarin VV, Kochkonyan ТS, Domenyuk DA, et al. Occlusal plane orientation in patients with dentofacial and malies based on morphometric cranio-facial measurements. Archiv EuroMedica. 2021;11(1): 116–121. EDN: UPFMEJ doi: 10.35630/2199-885X/2021/11/1.26
- Fadeev RA, Lanina AN, Vishnyova NV. Clinical experience of using occlusocorrectors as an operational positioner. Acta universitatis dentistriae et chirurgiae maxillofacialis. 2023;1(1):23–28. EDN: LIYOLG doi: 10.17816/uds516341
- Dmitrienko SV, Krayushkin AI, Vorobiev AA, Fomina OL. Atlas of anomalies and deformities of the maxillofacial region. Moscow; 2006. 95 p. (In Russ.)
- Fadeev RA, Lanina AN, Vishnyova NV, Timchenko VV. Influence of the conditionality of maxillofacial anomalies on the choice of orthodontic treatment tactics. Acta universitatis dentistriae et chirurgiae maxillofacialis. 2023;1(1):29–36. EDN: FLDWHC doi: 10.17816/uds516530
Supplementary files






