Application of SCENAR therapy in the rehabilitation of patients with partial loss of teeth, forced position of the lower jaw, and temporomandibular joint dysfunction
- Authors: Fadeev R.A.1,2,3, Cheban M.A.3, Prozorova N.V.3, Gilina T.A.4
-
Affiliations:
- North-Western State Medical University named after I.I. Mechnikov
- St. Petersburg Institute of Dentistry
- Novgorod State University named after Yaroslav the Wise
- Saint Petersburg State University
- Issue: Vol 2, No 1 (2024)
- Pages: 19-26
- Section: Clinical dentistry and maxillofacial surgery
- Submitted: 09.04.2024
- Accepted: 16.04.2024
- Published: 27.04.2024
- URL: https://stomuniver.ru/unistom/article/view/630187
- DOI: https://doi.org/10.17816/uds630187
- ID: 630187
Cite item
Abstract
The prevalence of partial tooth loss among adults is up to 75%. Temporomandibular joint (TMJ) diseases are no less common. According to various data, the incidence rate ranges from 28% to 79% and depends on the age and population examined. This study aimed to describe the method of using SCENAR therapy in complex staged rehabilitation of a patient with TMJ dysfunction, forced position of the lower jaw, and partial tooth loss. In the rehabilitation, basic research methods were used, such as history taking, external examination, extraoral examination of the TMJ and lower jaw muscles, and intraoral examination. Analysis of diagnostic models of the jaws and their installation in the articulator, analysis of captured diagnostic photographs of the dentition and face, X-ray examination, and functional diagnostic methods, such as electromyography of lower jaw muscles and sonography of the TMJ, were also performed. The use of SCENAR therapy in the rehabilitation of patients with TMJ dysfunction, partial tooth loss, and forced position of the lower jaw led to the relaxation and equalization of the tone of the lower jaw muscles. As a result, the lower jaw occupies an optimal position, the TMJ functioning is normalized, and articulation improves. This approach to the rehabilitation of patients allows one to obtain a long-term functional and aesthetic result.
Full Text
BACKGROUND
Partial tooth loss occurs in up to 75% of adults [1–3]. Temporomandibular joint (TMJ) disorders are no less common. According to various data, their incidence ranges from 28% to 79% [4–6] depending on the age and population studied [5].
Some researchers believe that incorrect determination of the optimal mandibular position when rehabilitating patients with orthopedic constructs is one of the causes of TMJ disorders [1, 6, 7].
An unphysiological mandibular position can result in occlusal imbalance; impaired articulation of the mandible; articular disc displacement; clicking, noise, and pain in the TMJ; and impaired balanced functioning of the mandibular muscles [2, 5, 7, 8].
Some researchers have demonstrated that the muscles that drive the mandible in a relaxed state are an indispensable condition for determining the optimal mandibular position and ensuring effective mastication. This assertion is based on the axiom of physiology, which posits that optimal muscle function is realized from a completely relaxed position (resting state), when muscle fibers have optimal length [1, 6, 7].
Certain specialists recommend the use of transcutaneous electroneurostimulation of the trigeminal, facial, and accessory nerves to relax the masticatory muscles and determine the optimal mandibular position [7, 8]. SCENAR therapy represents a variant of this physical therapy [9, 10].
This study aimed to present a method of SCENAR therapy in the complex stage of rehabilitation of a patient with TMJ dysfunction, forced mandibular position, and partial loss of teeth.
MATERIALS AND METHODS
During patient rehabilitation, various research methods were employed, including anamnesis collection, external examination, extraoral examination of the TMJ and mandibular muscles, intraoral examination, and the study of diagnostic models of the mandible and their analysis in the articulator. In addition, diagnostic photographs of the dental rows and face were analyzed, radiological examinations were conducted, and functional diagnostics were performed using electromyography of mandibular muscles and sonography of the TMJ.
RESULTS AND DISCUSSION
Patient K (69 years old) presented to the medical center in September 2019 with complaints of whispering, difficulty chewing food and clenching teeth, and clicking and pain in the TMJ area.
The patient’s medical history included previous dental treatment at a clinic in St. Petersburg. The treatment involved the fabrication of permanent metal–ceramic orthopedic constructions supported by teeth and implants. After fixation of the structures, the patient experienced displacement of the lower mandible to the side and the absence of tight occlusal contacts of the lateral teeth. Subsequently, the patient experience auditory phenomena, which were accompanied by clicking and pain in the TMJ area.
Objectively, crown defects were observed on teeth 1.5, 1.3, 2.2, 2.3, 2.6, and 3.1. In addition, a deformation of the occlusal plane, with the occlusal plane being lower on the left than on the right, was noticeable. Furthermore, an overlap of the upper incisors over the lower incisors by more than two-thirds of the crown height was evident. The center lines of the upper and lower rows of teeth were displaced to the left by 4.0 and 3.0 mm, respectively. The ratio of the molars and canines on the right and left sides was Engel class II. Upon closure of the teeth, a firm contact was observed in the anterior row of teeth. During the opening and closing of the mouth, through the external auditory canals, clicks were noted in the right and left TMJ. Palpation of the medial wing muscles on the right and left sides was associated with pain.
A preliminary diagnosis was made based on the clinical examination results. The diagnosis was TMJ musculo-articular dysfunction, forced position of the lower mandible, partial loss of teeth on the upper and lower mandibles, and restoration with orthopedic constructions supported by teeth and implants.
Computed tomography (CT) of the mandibles (Fig. 1), CT of the TMJ (Fig. 2), electromyography of the mandibular muscles (Fig. 3), and sonography of the TMJ (Fig. 4) were performed for diagnostic purposes.
Fig. 1. Pretreatment computed tomography of the jaws of patient K., 69 years old
Рис. 1. Компьютерная томограмма челюстей пациентки К., 69 лет, до лечения
Fig. 2. Pretreatment computed tomography of the right (a) and left (b) temporomandibular joint
Рис. 2. Компьютерная томограмма правого (a) и левого (b) височно-нижнечелюстного сустава до лечения
Fig. 3. Electromyogram of the lower jaw muscles
Рис. 3. Электромиограмма мышц, приводящих в движение нижнюю челюсть
Fig. 4. Sonography of the temporomandibular joint
Рис. 4. Сонография височно-нижнечелюстных суставов
The CT of the TMJ revealed that the head of the mandible was displaced distally on the right side. The mandibular heads were deformed on both sides. Electromyography revealed increased tone of temporal and bicuspid muscles at the existing position of the mandible. Sonography revealed the presence of clicks on the right and left TMJ regions when opening and closing of the mouth. The preliminary diagnosis was confirmed based on the diagnostic measures.
To relax the masticatory muscles and determine the optimal position of the mandible, SCENAR therapy was performed in 1.5-Hz mode, intensity 3, and exposure time of 60 min. Electrodes were placed on the trigeminal nerve ganglion on the right and left sides.
After SCENAR therapy, the muscle tone was restored to within the normal range, and clicking in the TMJ area when opening and closing the mouth reduced significantly (Figs. 5 and 6). A silicone recorder of the new mandibular position was obtained. Based on the obtained mandibular position, a muscle–tendon stabilizer (mouth guard) was fabricated for the mandible (Fig. 7).
Fig. 5. Electromyography data after percutaneous electrical stimulation therapy
Рис. 5. Данные электромиографии после проведения транскожной электронейростимуляции
Fig. 6. Sonography data of the temporomandibular joint after percutaneous electrical stimulation
Рис. 6. Данные сонографии височно-нижнечелюстного сустава после проведения транскожной электронейростимуляции
Fig. 7. Mouth guard on the lower jaw of patient K.
Рис. 7. Каппа на нижней челюсти пациентки К.
Six months after the initial use of the mouth guard, electromyography of the mandibular muscles and sonography of the TMJ were repeated, which demonstrated normalization of muscle tone and absence of clicking in the TMJ (Figs. 8, 9).
Fig. 8. Electromyography data after 6 months of using the mouth guard
Рис. 8. Данные электромиографии через 6 мес. использования каппы
Fig. 9. Sonography data after 6 months of using the mouth guard. Clicks on mouth opening disappeared
Рис. 9. Данные сонографии через 6 мес. использования каппы. Отмечается исчезновение щелчков при открывании рта
Subsequently, the musculotendinous stabilizer was replaced with temporary occlusal onlays made of composite material. Occlusal onlays allow for the maintenance and stabilization of the selected mandibular position, including during eating (Fig. 10).
Fig. 10. Temporary occlusal pads made of composite material on the dentition of the upper and lower jaw
Рис. 10. Временные окклюзионные накладки из композитного материала на зубных рядах верхней и нижней челюсти
The subsequent phase of prosthetics entails the sequential fabrication and placement of temporary dentures on the upper and lower jaws.
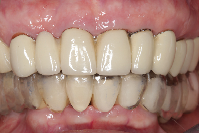
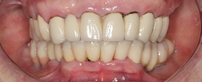
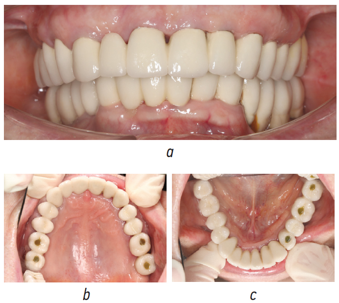
After 4 months of using the temporary structures, the fabrication and fitting of the permanent dentures with tooth and implant support were completed (Fig. 11).
Fig. 11. Permanent metal-ceramic structures based on the teeth and implants: a, anterior projection; b, occlusal projection of the upper dentition; c, occlusal projection of the lower dentition
Рис. 11. Постоянные металлокерамические конструкции с опорой на зубы и имплантаты: a — передняя проекция, b — окклюзионная проекция верхнего зубного ряда, c — окклюзионная проекция нижнего зубного ряда
The patient is currently satisfied with the prosthetics and does not have any complaints related to the masticatory apparatus.
CONCLUSIONS
The use of SCENAR therapy in the rehabilitation of patients with TMJ dysfunction, partial tooth loss, and forced mandibular position facilitates the relaxation and equalization of the tone of the lower mandibular muscles. Consequently, the lower mandible is optimally positioned, the function of the TMJ is normalized, and articulation is enhanced.
Before the fabrication of permanent dentures, the selected mandibular position must be stabilized in several stages. This can be achieved through the use of a musculotendinous stabilizer (mouth guard), temporary occlusal onlays, and temporary prosthetic structures. The presented approach allows for the attainment of stable functional and esthetic outcomes.
ADDITIONAL INFORMATION
Authors’ contribution. All the authors made a significant contribution to the preparation of the article, read and approved the final version before publication. Personal contribution of each author: R.A. Fadeev — collecting material, writing and editing the text of the manuscript; M.A. Cheban, N.V. Prozorova, T.A. Gilina — collecting material, analyzing the data obtained, writing the text of the manuscript.
Funding source. The authors claim that there is no external funding when writing the article.
Competing interests. The authors declare the absence of obvious and potential conflicts of interest related to the publication of this article.
Ethics approval. The material of the article demonstrates the results of clinical observation, does not contain research materials.
Informed consent to publication. All participants voluntarily signed an informed consent form prior to the publication of the article.
About the authors
Roman A. Fadeev
North-Western State Medical University named after I.I. Mechnikov; St. Petersburg Institute of Dentistry; Novgorod State University named after Yaroslav the Wise
Email: sobol.rf@yandex.ru
ORCID iD: 0000-0003-3467-4479
SPIN-code: 4556-5177
Scopus Author ID: 6503892124
MD, Dr. Sci. (Med.), Professor
Russian Federation, Saint Petersburg; Saint Petersburg; Veliky NovgorodMaksim A. Cheban
Novgorod State University named after Yaroslav the Wise
Author for correspondence.
Email: maximcheban97@gmail.com
SPIN-code: 3289-7217
orthopedic dentist
Russian Federation, Veliky NovgorodNatalya V. Prozorova
Novgorod State University named after Yaroslav the Wise
Email: prozorovanv@yandex.ru
SPIN-code: 6253-3084
MD, Cand. Sci. (Med.)
Russian Federation, Veliky NovgorodTatyana A. Gilina
Saint Petersburg State University
Email: ttane4ka@list.ru
SPIN-code: 1451-4585
orthopedic dentist
Russian Federation, Saint PetersburgReferences
- Ronkin KZ. Clinical substantiation of percutaneous electroneurostimulation method in complex rehabilitation of patients with partial tooth loss and symptoms of temporomandibular joint dysfunction [dissertation]. Moscow, 2019. 228 p. (In Russ.)
- Fadeev RA, Parshin VV, Prozorova NV. Syndrome forced position of the lower jaw — nosological unit of temporomandibular joint diseases. The dental institute. 2020;(3):74–75. EDN: STPKEA
- Slavicek M, Slavicek R. The masticatory organ: Functions and disfunctions. Klosterneuburg: GammaMed, 2002. 544 p.
- Fadeev RA, Martynov IV, Ronkin KZ, Emgahov AV. The sequence of the orthodontist steps in the correction of dentofacial anomalies, complicated with the TMJ diseases and parafunctions of the masticatory muscles. The dental institute. 2015;(1):52–53. EDN: TOMSPV
- Khvatova VA. Diagnostics and treatment of functional occlusion disorders. Nizhny Novgorod, 1996. 275 p. (In Russ.)
- Okeson, J. The Management of temporomandibular disorders and occlusion. Mosby, 2000. 685 p.
- Jankelson B. Neuromuscular aspects of occlusion: effects of occlusal position on the physiology and dysfunction on the mandibular musculature. Dent Clin North Am. 1979;23(2):157–168. doi: 10.1016/S0011-8532(22)03188-3
- Fadeev RA, Ronkin KZ, Martynov IV, Chervotok AE. Conformation of the method of definition of mandibular position in the cases with partial dental loss. The dental institute. 2014;(2):32–35. EDN: SQJHDL
- Greenberg YaZ. Bases of effectiveness of SCENAR-therapy and some questions of reflexotherapy. Izvestiya TRTU. 1998;(4):47–51. EDN: KUXHJF
- Fadeev RA, Prozorova NV, Gilina TA, Fishman BB. Comparative analysis of the myorelaxation effect of application of myomonitor J5 and SCENAR devices in complex therapy of patients with TMJ and masticatory muscles diseases. The dental institute. 2017;(3):62–65. EDN: ZRDRED
Supplementary files














