The effectiveness of caries prevention in patients with enamel defects of noncarious origin at the stages of orthodontic treatment
- Authors: Satygo E.A.1, Popov S.A.2
-
Affiliations:
- North-Western State Medical University named after I.I. Mechnikov
- Dental Clinic No. 9
- Issue: Vol 1, No 1 (2023)
- Pages: 7-14
- Section: Scientific research
- Submitted: 09.12.2023
- Accepted: 18.12.2023
- Published: 23.01.2023
- URL: https://stomuniver.ru/unistom/article/view/624386
- DOI: https://doi.org/10.17816/uds624386
- ID: 624386
Cite item
Abstract
BACKGROUND: White spot caries around braces is a common complication of orthodontic treatment. Numerous studies have indicated varying levels of the effectiveness of preventive measures for patients with braces, particularly for patients with noncarious enamel defects.
AIM: This study aimed to determine the effectiveness of the use of preventive agents around braces and in the area of noncarious spots in patients with enamel defects at the stages of orthodontic treatment.
MATERIALS AND METHODS: The study involved 54 patients aged 14–18 years. All patients were divided into three groups. In group 1, patients were treated monthly with the area around the bracket and the spot with Fluorine-Lux for deep fluoridation. In group 2, the enamel around the braces was fluoridated monthly with Fluorine-Lux varnish. Patients used R.O.C.S. toothpaste for home hygiene (ProBrackets&Ortho). In group 3 (control group), patients received professional oral care twice a year according to the standard regimen. Patients used fluoride toothpaste for oral care at home. Treatment lasted no more than 25 months. The initial levels of hygiene, caries intensity, and enamel resistance in all groups were comparable.
RESULTS: After removing the bracket system, the intensity of the caries in group 1 significantly increased slightly to 13.75 ± 1.12 (p > 0.01), and the “K” component increased to 2.91 ± 0.38 (p > 0.01). After removing the orthodontic equipment, the intensity of the carious process in group 2 was 12.23 ± 1.34, with highly significant differences (p < 0.05), the “K” component was 3.42 ± 0.19 (p < 0.05), and the number of teeth with noncarious defects was 4.19 ± 0.06 (p < 0.05). The appearance of new carious spots and cavity defects in teeth with noncarious enamel lesions that require treatment and filling were recorded. In group 3, the intensity of dental caries after the removal of the orthodontic equipment was 18.21 ± 0.16, with highly significant differences (p < 0.05), the “K” component was 6.83 ± 0.11 (p < 0.05), and the number of teeth with noncarious defects was 1.98 ± 0.04 (p < 0.05). The appearance of new carious spots and cavity defects in teeth with noncarious enamel lesions requiring treatment and filling were registered.
CONCLUSIONS: To prevent caries in the form of white spots on the teeth in patients with noncarious lesions during orthodontic treatment, professional oral hygiene monthly with the removal of the arch wire is recommended. The most effective is the combination of home oral hygiene using calcium-containing paste and monthly application of the drug Fluorine-Lux for deep fluoridation around braces and in noncarious areas.
Full Text
BACKGROUND
Despite advances in orthodontic treatment over the past 20 years, the development of dental caries such as white spots around braces remains a problem. The incidence of white spots, based on post-treatment evaluations, ranges from 0% to 97%. Five risk factors for the development of dental caries in the form of white spots during treatment have been identified: treatment duration >36 months, teeth without fluorosis, poor oral hygiene, poor oral hygiene after the installation of fixed appliances, and presence of enamel defects [1–4]. Dental caries are prevalent in the general population, with reports indicating that 20%–80% of people worldwide have enamel defects. Patients with such defects often require orthodontic treatment. The wide range of enamel defects reported is mainly due to the inclusion criteria for what constitutes an enamel defect, such as enamel hypoplasia or its absence, discoloration indicating hypomineralization, fluorosis, and caries. Environmental exposure and genetic changes can impair enamel development. Pathological conditions such as fever, infection, trauma, saturation changes, antibiotic therapy, and other factors can adversely affect amelogenesis. The enamel phenotype resulting from different types of damage during amelogenesis varies depending on the type of stress, duration, and intensity of exposure. Short-term environmental stressors such as fever often cause localized enamel defects, whereas chronic stressors such as increased fluoride exposure are more likely to be associated with generalized defects [5–10]. When treating patients with enamel defects who require orthodontic treatment with fixed appliances, planning for caries prevention programs considering the enamel structure is important.
Numerous studies have evaluated the effectiveness of methods to prevent white enamel spots during orthodontic treatment. The development of fluoride materials for braces is currently underway. Oral hygiene must be maintained using high-fluoride toothpaste and professional preventive products. The combined use of fluoride, hydroxyapatite, and calcium compounds has been a recent topic of debate [11–22]. Studies have confirmed the effectiveness of deep enamel fluoridation [23–29].
The aim of this study was to determine the effectiveness of prophylaxis around brackets and in noncarious spots during orthodontic treatment in patients with enamel defects.
MATERIALS AND METHODS
The study enrolled 54 patients aged 14–18 years, who were divided into three groups. Each group was offered a choice among the three caries prevention algorithms to determine which was the most acceptable.
Group 1 consisted of 20 patients with a mean age of 16.5 years and a hygiene index was 64.32% ± 8.92%. This group presented with noncarious spots. After the installation of the bracket system, all patients received monthly professional oral hygiene. Subsequently, “Fluorine-Lux” (TechnoDent, Russia) was applied around each bracket and on all enamel defects for deep fluoridation. The enamel was first impregnated with a liquid containing magnesium hexafluorosilicate and slightly dried to increase the concentration. Then, it was treated with calcium hydroxide suspension. This interaction resulted in the formation of insoluble crystalline salts of magnesium and calcium fluorides in a silicic acid gel, which trapped the crystals in the enamel defects around the bracket or adhesive.
Patients were advised to use ROCS ProBrackets & Ortho toothpaste twice daily for home oral hygiene. Group 2 included 18 patients with a mean age of 16.8 years and a hygiene index of 62.57% ± 7.16%. This group presented with noncarious spots. After the installation of the bracket system, all patients received monthly professional oral hygiene. Subsequently, the “Fluorine-Lux” varnish (TechnoDent, Russia) was applied around each bracket (bracket glue) and on all enamel defects. The varnish contains calcium fluoride, sodium fluoride, aminofluoride, and a film-forming agent in a volatile solvent. Patients were advised to use ROCS ProBrackets & Ortho toothpaste twice daily for home oral hygiene.
Group 3 included 16 patients with a mean age of 16.4 years and a hygiene index of 66.34% ± 6.53%. This group had noncarious spots. After the installation of the bracket system, professional oral hygiene was performed every 6 months, followed by fluoride varnish application. The patients used toothpaste containing monofluorophosphate twice daily for home oral hygiene.
Oral cavity sanitation was performed in all patients before and during the installation of the bracket system and the stages of treatment. The average treatment period was no longer than 30 months. Caries intensity was assessed after oral cavity sanitation. The “D” component included caries in staining stage K02.0. Noncarious enamel defects, classified in ICD10 under codes K00.4 and K00.5, were also noted. Patients with confirmed diagnoses of dental fluorosis (K00.30) were excluded according to the criteria. The differential diagnosis between carious and noncarious stains was made using vital staining and fluorescence diagnostics after plaque removal. If staining was not detected and porphyrin fluorescence was absent, enamel defects (K00.4 and K00.5) were noted. If staining was detected and porphyrin fluorescence was present, caries (K02.0) was noted. Methylene blue solution was used for staining, and VistaCam was used to determine fluorescence (Figs. 1 and 2).
Fig. 1. Spot without signs of demineralization; enamel hypomineralization of noncarious origin (postnatal hypoplasia, K00.4)
Рис. 1. Пятно без признаков деминерализации — гипоминерализация эмали некариозного происхождения (постнатальная гипоплазия К00.4)
Fig. 2. Stain with signs of demineralization in the subsurface layer (caries, K02.0)
Рис. 2. Пятно с признаками деминерализации в подповерхностном слое (кариес К02.0)
The oral hygiene index was determined by staining teeth with an indicator and counting the number of stained surfaces of all teeth using the Hygiene Efficiency Index (O’Leary, 1967). The proportion of stained surfaces to the total number of tooth surfaces was then calculated as a percentage. Enamel resistance was measured using the test of enamel resistance (TER-test) (Okushko V.R., Kosareva L.I., 1984).
Test procedure: A drop of 1% hydrochloric acid solution was applied to the cleaned and dried vestibular surface of the premolar enamel using a microcapillary at the center for 5 s. After the removal of the acid, a 1% aqueous solution of methylene blue was applied to the etched areas using a microcapillary. The staining intensity was evaluated using a 10-field typographic shade scale for blue with a colorimetric gradation of saturation ranging from 10% to 100%. To interpret the results, the staining intensity indicates the level of tooth enamel resistance to acidic factors. If the staining intensity is <30%, the tooth enamel is resistant to these factors. If the staining intensity is between 30% and 60%, the tooth enamel has a moderate degree of resistance to acidic factors. If the staining intensity is >60%, the tooth enamel is unstable under the influence of acids. The indices were registered twice, i.e., before the installation of the bracket system and after its removal.
Statistical data were processed using the Statistica 12.0 program.
RESULTS
The hygiene index was not significantly different before the installation of the bracket system and after its removal in the three groups. However, the hygiene index values before and after treatment were significantly different, indicating a significant improvement in the oral hygiene of all patients (Table 1). The populations being compared exhibited a normal distribution. Differences between the groups were not significant (p > 0.01). However, significant differences in the hygiene index were noted before and after the removal of the braces (p < 0.05).
Table 1. Hygiene index of the patients in the study groups
Таблица 1. Индекс гигиены у пациентов групп исследования
Determination period | O’Leary hygiene index, % | ||
Group 1 | Group 2 | Group 3 | |
Before bracket placement | 64.32 ± 8.92 | 62.57 ± 7.16 | 66.34 ± 6.53 |
After treatment | 34.45 ± 6.31 | 38.73 ± 6.97 | 35.84 ± 7.28 |
In the assessment of tooth enamel resistance in group 1, the hygiene index values were 42.32% ± 4.35% and 43.98% ± 2.11% before and after treatment. The difference was not significant (p > 0.01) (Table 2).
Table 2. Resistance of tooth enamel by the test of enamel resistance in the study groups
Таблица 2. Резистентность эмали зубов по ТЭР-тесту у пациентов групп исследования
Determination period | ERT, % | ||
Group 1 | Group 2 | Group 3 | |
Before bracket placement | 42.32 ± 4.35 | 38.93 ± 4.17 | 44.02 ± 4.38 |
After treatment | 43.98 ± 2.11 | 49.48 ± 5.09 | 67.38 ± 3.21 |
In group 2, the enamel resistance rate before treatment was 38.93% ± 4.17%, which significantly increased to 49.48% ± 5.09% after brace removal. In group 3, the TER-test value was 44.02% ± 4.38% before treatment, which significantly increased to 67.38% ± 3.21% after the removal of the bracket system (p < 0.05). Before the installation of the bracket system, no significant differences in the TER-test values were found among patients in all groups. After treatment, enamel resistance in group 3 decreased significantly compared with the initial values, whereas groups 1 and 2 did not experience significant changes in TER-test values.
In this study, no patients had cavitated carious defects because their oral cavities were sanitized before brace system placement. The “D” component included caries in the staining stage (K02.0). Enamel defects were classified as K00.4 and K00.5. Importantly, the intensities of caries and noncarious lesions before treatment were comparable among the three groups and did not show significant differences.
Before placing the bracket system in group 1, the caries intensity was 11.42 ± 1.08. Carious stains were recorded at 2.42 ± 0.05 and noncarious stains at 5.52 ± 0.03.
After the removal of the bracket system, the intensity of caries in this group significantly increased to 13.75 ± 1.12 (p > 0.01), and the “D” component increased to 2.91 ± 0.38 (p > 0.01). The number of teeth with enamel defects remained the same, which may indicate a stable situation regarding dental caries in the area of enamel defects of noncarious origin (Table 3).
Table 3. Intensity of caries in dynamics in two study groups
Таблица 3. Интенсивность кариеса в динамике у двух групп исследования
Study groups | D (К02.0) | F | M | DMF | ED (К00.4, К00.5) |
Group 1 | |||||
Before bracket placement | 2.42 ± 0.15 | 9.34 ± 0.09 | – | 11.42 ± 1.08 | 5.52 ± 0.03 |
After brace removal | 2.91 ± 0.38 | 10.87 ± 0.11 | – | 13.75 ± 1.12 | 5.52 ± 0.03 |
Group 2 | |||||
Before bracket placement | 2.34 ± 0.02 | 8.96 ± 0.18 | – | 10.98 ± 0.25 | 6.19 ± 0.09 |
After brace removal | 3.42 ± 0.19 | 9.27 ± 0.12 | 12.23 ± 1.34 | 4.19 ± 0.06 | |
Group 3 | |||||
Before bracket placement | 6.12 ± 0.10 | 8.09 ± 0.11 | – | 11.25 ± 0.09 | 6.09 ± 0.02 |
After brace removal | 6.83 ± 0.11 | 12.12 ± 0.08 | – | 18.21 ± 0.16 | 3.98 ± 0.04 |
Note: D, decayed teeth; M, missing teeth; F, filled teeth; ED, enamel defects. | |||||
In group 2, the intensity of dental caries before orthodontic treatment was 10.98 ± 0.25, and the number of teeth with noncarious defects was 6.19 ± 0.09. After the removal of orthodontic appliances, the intensity of the carious process in group 2 significantly increased to 12.23 ± 1.34 (p < 0.05), and the number of teeth with noncarious defects significantly decreased to 4.19 ± 0.06 (p < 0.05). The “D” component also increased significantly to 3.42 ± 0.19 (p < 0.05).
In group 3, the intensity of dental caries before orthodontic treatment was 11.25 ± 0.09, the “D” component was 6.12 ± 0.10, and the number of teeth with noncarious defects was 6.09 ± 0.02. After the removal of orthodontic appliances, the intensity of the carious defects increased significantly to 18.21 ± 0.16 (p < 0.05), the “D” component increased to 6.83 ± 0.11 (p < 0.05), and the number of teeth with noncarious defects decreased to 3.98 ± 0.04 (p < 0.05).
New carious spots were detected along with cavitated defects that required treatment and filling in teeth with noncarious enamel lesions.
CLINICAL CASE. PATIENT WITH ENAMEL HYPOPLASIA BEFORE AND AFTER TREATMENT
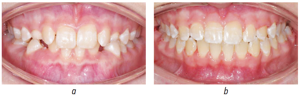
Patient M, a 15-year-old girl, was diagnosed with mesial occlusion, retention of teeth 4.3 and 3.3, postnatal systemic enamel hypomineralization, and celiac disease (gluten enteropathy), as shown in Figure 3.
Fig. 3. Patient M.’s teeth before (a) and after (b) treatment
Рис. 3. Фотографии зубов пациента М. до (а) и после (b) лечения
Before bracket system placement, the decayed/missing/filled teeth (DMF) index was 4, the TER value was 44%, the hygiene index was 58%, and noncarious spots were present in 24%. The treatment period was 25 months. After removing the bracket system, the DMF index was 5. The TER-test value and the hygiene index were 46% and 43%, respectively. In addition, noncarious spots were observed in 24% of the cases.
CONCLUSIONS
To prevent white spots in patients with noncarious lesions during orthodontic treatment, monthly professional oral hygiene with arch removal is recommended. The most effective approach is to combine home oral hygiene with a calcium-containing paste and monthly application of Fluorine-Lux (TechnoDent, Russia) for deep fluoridation around the brackets and in the area of the noncarious spots.
ADDITIONAL INFORMATION
Authors’ contribution. All the authors made a significant contribution to the preparation of the article, read and approved the final version before publication. Personal contribution of each author: E.A. Satygo — collecting material, writing and editing the text of the manuscript; S.A. Popov — collecting material, analyzing the data obtained, writing the text of the manuscript.
Funding source. The authors claim that there is no external funding when writing the article.
Competing interests. The authors declare the absence of obvious and potential conflicts of interest related to the publication of this article.
Ethics approval. The material of the article demonstrates the results of clinical observation, does not contain research materials.
Informed consent to publication. All participants voluntarily signed an informed consent form prior to the publication of the article.
About the authors
Elena A. Satygo
North-Western State Medical University named after I.I. Mechnikov
Author for correspondence.
Email: stom9@yandex.ru
ORCID iD: 0000-0001-9801-503X
SPIN-code: 8776-0513
Dr. Sci. (Med.), Professor, Head of the Department
Russian Federation, Saint PetersburgSergey A. Popov
Dental Clinic No. 9
Email: stom9@yandex.ru
SPIN-code: 3338-8193
Dr. Sci. (Med.), Professor, Orthodontist
Russian Federation, Saint PetersburgReferences
- Shungin D, Olsson AI, Persson M. Orthodontic treatment-related white spot lesions: a 14-year prospective quantitative follow-up, including bonding material assessment. Am J Orthod Dentofacial Orthop. 2010; 138(2):136.e1–8; discussion 136–137. doi: 10.1016/j.ajodo.2009.05.020
- Krysanova MA, Kuzmina EM, Polma LV. Determination of the prevalence and intensity of dental caries in patients during treatment using fixed orthodontic equipment. Orthodontics. 2015;(3): 43–46.
- Juliena KC, Buschangb PH, Campbellc PM. Prevalence of white spot lesion formation during orthodontic treatment. Angle Orthod. 2013;83(4):641–643. doi: 10.2319/071712-584.1
- Lone EA, Utreja AK, Singh SP, Jena AK. Effect of multibracket orthodontic appliance on frequency and severity of enamel demineralization-a prospective study. J Dent Special. 2015;3(1): 36–39.
- Salanitri S, SeowWK. Developmental enamel defects in the primary dentition: aetiology and clinical management. Aust Dent J. 2013;58(2):133–140; quiz 266. doi: 10.1111/adj.12039
- Costa FS, Silveira ER, Pinto GS, et al. Developmental defects of enamel and dental caries in the primary dentition: A systematic review and meta-analysis. J Dent. 2017;60:1–7. doi: 10.1016/j.jdent.2017.03.006
- Patel A, Aghababaie S, Parekh S. Hypomineralisation or hypoplasia? Br Dent J. 2019;227(8):683–686. doi: 10.1038/s41415-019
- Crombie FA, Manton DJ, Palamara JE, et al. Characterisation of developmentally hypomineralised human enamel. J Dent. 2013;41(7):611–618. doi: 10.1016/j.jdent.2013.05.002
- William V, Messer LB, Burrow MF. Molar incisor hypomineralization: review and recommendations for clinical management. Pediatr Dent. 2006;28(3):224–232.
- Baroni C, Mazzoni A, BreschiL. Molar incisor hypomineralization: supplementary, restorative, orthodontic, and esthetic long-term treatment. Quintessence Int. 2019;50(5):412–417. doi: 10.3290/j.qi.a42327
- Ogaard B, Larsson E, Henriksson T, et al. Effects of combined application of antimicrobial and fluoride varnishes in orthodontic patients. Am J Orthod Dentofacial Orthop. 2001;120(1):28–35. doi: 10.1067/mod.2001.114644
- Ogaard B, Rølla G, Arends J, ten Cate JM. Orthodontic appliances and enamel demineralization. Part 2. Prevention and treatment of lesions. Am J Orthod Dentofacial Orthop. 1988;94:123–128. doi: 10.1016/0889-5406(88)90360-5
- Cochrane NJ, Cai F, Huq NL, et al. New approaches to enhanced remineralization of tooth enamel. J Dent Res. 2010;89:1187–1197. doi: 10.1177/0022034510376046
- Huang GJ, Roloff-Chiang B, Mills BE, et al. Effectiveness of MI Paste Plus and PreviDent fluoride varnish for treatment of white spot lesions: a randomized controlled trial. Am J Orthod Dentofacial Orthop. 2013;143(1):31–41. doi: 10.1016/j.ajodo.2012.09.007
- Borzabadi-Farahani A, Borzabadi E, Lynch E. Nanoparticles in orthodontics, a review of antimicrobial and anti-caries applications. Acta Odontol Scand. 2014;72(6):413–417. doi: 10.3109/00016357.2013.859728
- Alessandri Bonetti G, Pazzi E, Zanarini M, et al. The effect of zinc-carbonate hydroxyapatite versus fluoride on enamel surfaces after interproximal reduction. Scanning. 2014;36(3):356–361. doi: 10.1002/sca.21125
- Alexander SA, Ripa LW. Effects of self-applied topical fluoride preparations in orthodontic patients. Angle Orthod. 2000;70(6):424–430. doi: 10.1043/0003-3219(2000)070<0424:EOSATF>2.0.CO;2
- Llena C, Leyda AM, Forner L. CPP-ACP and CPP-ACFP versus fluoride varnish in remineralisation of early caries lesions. A prospective study. Eur J Paediatr Dent. 2015;16(3):181–186. doi: 10.1007/s40368-014-0153-9
- Zantner C, Martus P, Kielbassa AM. Clinical monitoring of the effect of fluorides on long-existing white spot lesions. Acta Odontol Scand. 2006;64(2):115–122. doi: 10.1080/00016350500443297
- Sonesson M, Twetman S, Bondemark L. Effectiveness of high-fluoride toothpaste on enamel demineralization during orthodontic treatment-a multicenter randomized controlled trial. Eur J Orthod. 2014;36(6):678–682. doi: 10.1093/ejo/cjt096
- Boyd RL. Comparison of three self-applied topical fluoride preparations for control of decalcification. Angle Orthod. 1993;63(1):25–30. doi: 10.1043/0003-3219(1993)063<0025:COTSTF>2.0.CO;2
- Al-Khateeb S, Forsberg CM, de Josselin de Jong E, Angmar-Månsson B. A longitudinal laser fluorescence study of white spot lesions in orthodontic patients. Am J Orthod Dentofacial Orthop. 1998;113(6):595–602. doi: 10.1016/S0889-5406(98)70218-5
- Perrini F, Lombardo L, Arreghini A, et al. Caries prevention during orthodontic treatment: In-vivo assessment of high-fluoride varnish to prevent white spot lesions. Am J Orthod Dentofacial Orthop. 2016;149(2):238–243. doi: 10.1016/j.ajodo.2015.07.039
- Zorina OA, Boriskina OA, Petrukhina NB, et al. Influence of different type of toothbrushes on the incidence of enamel demineralization and gingivitis in the course of orthodontic treatment. Dentistry. 2020;99(2):34–39. doi: 10.17116/stomat20209902134
- Krysanova MA, Kuzmina EM, Polma LV. Application of modern prophylactic means during orthodontic treatment with fixed appliances (review). Orthodontics. 2014;(4):12–19. (In Russ.)
- Arsenina OI, Kabachek MV, Sakharov EB. Application of enamel-sealing liquid for caries prevention in orthodontic treatment. Orthodontics. 2003;(1):8–12.
- Arsenina OI, Frolova AV, Popova NV. Algorithm of preventive measures in orthodontic treatment with the use of fixed appliances. Orthodontics. 2009;(1(45)):44–45.
- Kuzmina EA, Kapytov AA, Efimova AS, Saraikina OS. Some distinctive features of remineralizing complex Fluoro-lux. Science Bulletin. Series: Medicine. Pharmacia. 2014;(18(189)):139–143. (In Russ.)
- Ammaev MG, Fattal RK, Tairov VV, Melekhov SV. Advanced way of the assessment of efficiency of treatment of initial caries. Kuban Scientific Medical Bulletin. 2013;(6(141)):32–34.
Supplementary files






