Clinical case of prosthetic prostheses for an edentular upper jaw with implant support
- Authors: Parshin V.V.1,2, Isaev T.I.2
-
Affiliations:
- North-Western State Medical University named after I.I. Mechnikov
- Academician I.P. Pavlov First St. Petersburg State Medical University
- Issue: Vol 1, No 1 (2023)
- Pages: 37-44
- Section: Clinical dentistry and maxillofacial surgery
- Submitted: 17.10.2023
- Accepted: 13.11.2023
- Published: 23.01.2023
- URL: https://stomuniver.ru/unistom/article/view/610986
- DOI: https://doi.org/10.17816/uds610986
- ID: 610986
Cite item
Full Text
Abstract
The article shows the possibilities of temporary and permanent prosthetics of the edentulous upper jaw supported by implants and presents the clinical and laboratory stages of temporary and permanent prosthetics with a fixed structure supported by implants.
Keywords
Full Text
ВВЕДЕНИЕ
Протезирование беззубой верхней челюсти является сложной и многоступенчатой задачей, требующей от врача-стоматолога знаний анатомо-топографических особенностей строения верхней челюсти, а также наличия практических стоматологических навыков [1–3]. Выраженная атрофия альвеолярного отростка при вторичной адентии верхней челюсти создает неблагоприятные условия для дентальной имплантации и последующего ортопедического лечения [4, 5]. Данная клиническая ситуация ограничивает возможности проведения имплантационного лечения и заставляет хирургов-имплантологов выполнять дополнительные вмешательства, направленные на увеличение объема твердых и мягких тканей в области предполагаемой дентальной имплантации [6–8].
КЛИНИЧЕСКИЙ СЛУЧАЙ
Пациентка В. 1951 г. р. обратилась с жалобой на неудовлетворительную фиксацию полного съемного протеза на верхней челюсти (рис. 1). Из анамнеза: 12 лет назад пациентке были установлены 4 дентальных имплантата на верхнюю челюсть, которые со временем дезинтегрировались.
Рис. 1. Фотография улыбки пациента до протезирования
Fig. 1. Patient’s smile before the prosthetics
После анализа конкретной клинической ситуации, и оценки анатомических особенностей строения верхней челюсти (рис. 2) было принято решение об увеличении объема костной ткани в области гайморовых пазух и дна полости носа перед установкой имплантатов на верхней челюсти (рис. 3).
Рис. 2. Компьютерная томограмма верхней челюсти до начала стоматологического лечения
Fig. 2. Computed tomography of the upper jaw before dental treatment
Рис. 3. Компьютерная томограмма верхней челюсти после проведения увеличения объема костной ткани в области гайморовых пазух и дна полости носа
Fig. 3. Computed tomography of the upper jaw after bone augmentation in the maxillary sinuses and floor of the nasal cavity
Через 2 нед после проведенных хирургических вмешательств пациентке была выполнена перебазировка имеющегося полного съемного протеза материалом холодной полимеризации на силиконовой основе Ufi Gel SC (Уфи Гель СЦ) прямым методом.
Через полгода после синус- и назалифтинга пациентке проведено планирование (рис. 4) и установка дентальных имплантатов (рис. 5).
Рис. 4. Планирование имплантационного лечения на верхней челюсти
Fig. 4. Planning of the implantation treatment on the upper jaw
Рис. 5. Компьютерная томограмма верхней челюсти с установленными дентальными имплантатами
Fig. 5. Computed tomography of the upper jaw with dental implants
Через полгода после установки дентальных имплантатов хирургом стоматологом установлены мультиюнит абатменты (рис. 6, 7) и поставлены защитные колпачки (рис. 8).
Рис. 6. Проверка угла мультиюнит абатментов
Fig. 6. Angle of the abutments
Рис. 7. Фотография мультиюнит абатментов через 2 нед после установки
Fig. 7. Multiunit abutments 2 weeks after insertion
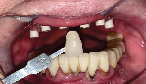
Рис. 8. Установлены защитные колпачки на мультиюнит абатменты, определен цвет будущей временной реставрации
Fig. 8. Protective caps are placed on the multiunit abutments, and the color of the future provisional restoration is determined
Проведена регистрация центральной окклюзии восковым шаблоном с прикусными валиками (рис. 9).
Рис. 9. Определение центральной окклюзии при помощи восковых шаблонов с прикусными валиками
Fig. 9. Determination of central occlusion using wax templates with bite rollers
Определено пространственное положение верхней челюсти относительно черепа с использованием аппарата Шестопалова (рис. 10).
Рис. 10. Определение пространственного положения верхней челюсти относительно черепа с использованием аппарата Шестопалова
Fig. 10. Determination of the spatial position of the maxilla relative to the skull using the Shestopalov apparatus
Получен силиконовый оттиск с верхней челюсти с уровня мультиюнит абатментов открытой ложкой (рис. 11).
Рис. 11. Оттиск верхней челюсти с уровня мультиюнит абатментов открытой ложкой
Fig. 11. Open spoon impression of the maxilla from the level of the abutment mullion
На рис. 12 представлены полученные оттиски, необходимые для изготовления временной и постоянной конструкции: силиконовые оттиски с верхней и нижней челюсти, регистрационные модули аппарата Шестопалова и лицевой дуги, восковой шаблон с определенной центральной окклюзией пациента, а также диагностический оттиск, выполненный со съемного протеза верхней челюсти, а также восковой шаблон с определенной центральной окклюзией пациента.
Рис. 12. Оттиски и восковой шаблон, необходимые для изготовления временной и постоянной конструкции
Fig. 12. Impressions and wax template for the fabrication of temporary and permanent construction
Зубным техником изготовлен прототип будущих временных коронок методом 3D-печати, фиксированный на стандартные абатменты с уровня мультиюнита. Эти коронки использовались как несъемный прикусной шаблон для более точного определения центральной окклюзии (рис. 13).
Рис. 13. Прототип будущих временных коронок
Fig. 13. Prototype of future temporary crowns
Проведена регистрация центральной окклюзии. С целью создания более плотного окклюзионного контакта по всей окклюзионной плоскости несъемного прикусного шаблона добавлен светоотверждаемый композит (рис. 14).
Рис. 14. Регистрация центральной окклюзии
Fig. 14. Registration of central occlusion
В программе «Exocad» (Exocad, Германия) проведено моделирование временных реставраций (рис. 15, 16). Затем методом фрезерования изготовлены временные коронки из пластмассы ППМА. Вклеены стандартные абатменты, которые использовались в прототипе (рис. 17).
Рис. 15. Компьютерное моделирование временных реставраций, вид спереди
Fig. 15. Computer modelling of temporary restorations, front view
Рис. 16. Компьютерное моделирование временных реставраций, вид окклюзионной поверхности и вид слева
Fig. 16. Computer modelling of temporary restorations, view of the occlusal surface and left view
Рис. 17. Временные пластмассовые коронки
Fig. 17. Temporary plastic crowns
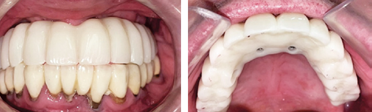
На рисунках 18, 19 изображены временные коронки в полости рта.
Рис. 18. Фотографии временных коронок на имплантатах в полости рта
Fig. 18. Photographs of implant-supported temporary crowns in the oral cavity
Рис. 19. Фотографии лица пациента с временными коронками
Fig. 19. Photos of a patient’s face with temporary crowns
Методом фрезерования зубной техник изготовил титановую балку, которая будет служить каркасом постоянной реставрации (рис. 20).
Рис. 20. Титановая балка
Fig. 20. Titanium beam
Принято решение для контроля окклюзионных контактов изготовить прототип постоянных коронок из фрезерованной пластмассы, зацементированный на титановой балке (рис. 21, 22).
Рис. 21. Прототип постоянных коронок на титановой балке
Fig. 21. Prototype of permanent crowns on a titanium beam
Рис. 22. Прототип постоянных коронок в полости рта
Fig. 22. Prototype of permanent crowns in the oral cavity
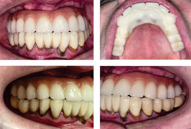
На рисунке 23 изображена постоянная конструкция, выполненная из диоксида циркония до соединения конструкции с титановой балкой. Затем готовая конструкция и балка соединяются цементом (рис. 24).
Рис. 23. Вид постоянной конструкции до цементировки с титановой балкой
Fig. 23. View of the permanent structure before cementation with a titanium beam
Рис. 24. Вид готовой постоянной конструкции
Fig. 24. View of the finished permanent structure
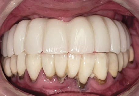
Таким образом постоянная конструкция устанавливается в полости рта (рис. 25, 26).
Рис. 25. Фотографии постоянной конструкции в полости рта
Fig. 25. Photographs of permanent structure in the oral cavity
Рис. 26. Фотографии лица пациента с постоянной конструкцией
Fig. 26. Photographs of the patient’s face with permanent construction
ЗАКЛЮЧЕНИЕ
В настоящее время одной из важных задач в ортопедической стоматологии является обеспечение стабилизации и фиксации съемных протезов при полном отсутствии зубов. Протезирование с опорой на дентальные имплантаты значительно улучшает удержание протезов в полости рта и повышает качество жизни пациентов [9–11].
ДОПОЛНИТЕЛЬНАЯ ИНФОРМАЦИЯ
Вклад авторов. Все авторы внесли существенный вклад в подготовку статьи, прочли и одобрили финальную версию перед публикацией. Вклад каждого автора: В.В. Паршин — написание текста, внесение окончательной правки; Т.И. Исаев — сбор и обработка материалов.
Источник финансирования. Лечение пациентки было проведено на базе НИИ стоматологии и челюстно-лицевой хирургии Первого Санкт-Петербургского государственного медицинского университета им. И.П. Павлова, Санкт-Петербург.
Благодарности. Авторы признательны среднему медицинскому персоналу НИИ стоматологии и челюстно-лицевой хирургии Первого Санкт-Петербургского государственного медицинского университета им. И.П. Павлова, Санкт-Петербург за помощь в оказании стоматологического лечения.
Раскрытие потенциального конфликта интересов авторов. Авторы заявляют об отсутствии потенциального конфликта интересов, требующего раскрытия в данной статье.
Заключение этического комитета. Протокол исследования был одобрен локальным этическим комитетом НИИ стоматологии и челюстно-лицевой хирургии Первого Санкт-Петербургского государственного медицинского университета им. И.П. Павлова (№ 1305 от 15.05.2015).
Информированное согласие на публикацию. Авторы получили письменное согласие пациента на публикацию медицинских данных и фотографий.
ADDITIONAL INFORMATION
Author contribution. All authors made significant contributions to the preparation of the article and read and approved the final version before publication. Contribution of each author: V.V. Parshin — writing the text, making final edits; T.I. Isaev — collection and processing of materials.
Funding source. The patient was treated at the Pavlov First Saint Petersburg State Medical University, Saint Petersburg.
Acknowledgments. The authors are grateful to the nursing staff of the Research Institute of Dentistry and Maxillofacial Surgery of the Pavlov First Saint Petersburg State Medical University, Saint Petersburg for assistance in providing dental treatment.
Disclosure of Potential Conflicts of Interest. The authors declare that there are no potential conflicts of interest to disclose in this article.
Ethics approval. The protocol of the study was approved by the local Ethics Committee of the (No. 1305 of 05/15/2015).
Consent for publication. Written consent was obtained from the patient for publication of relevant medical information and all accompanying images within the manuscript.
About the authors
Vasily V. Parshin
North-Western State Medical University named after I.I. Mechnikov; Academician I.P. Pavlov First St. Petersburg State Medical University
Author for correspondence.
Email: vasiliy-v-parshin@yandex.ru
ORCID iD: 0000-0003-3783-3412
SPIN-code: 5164-0998
Cand. Sci. (Medicine)
Russian Federation, Saint Petersburg; Saint PetersburgTazhudin I. Isaev
Academician I.P. Pavlov First St. Petersburg State Medical University
Email: tazhudinisaev@yandex.ru
Russian Federation, Saint Petersburg
References
- Bezrukov VM, Matveeva AI, Kulakov AA. Results and prospects of the study of dental implantology problems in Russia. Stomatologia. 2002;(1):52–55. (In Russ.)
- Bukharbaev AK, Cheban MA. Features of fixed prosthetics with support on dental implants. In: Proceedings of the 53rd Annual All-Russian Conference of Students and Young Scientists “Actual problems of theoretical, experimental, clinical medicine and pharmacy” 2019. March 27–28. Tyumen. P. 320–321. (In Russ.)
- Horita S, Sugiura T, Yamamoto K, et al. Biomechanical analysis of immediately loaded implants according to the “all-on-four” concept. J Prosthodont Res. (2017);61(2):123–132. doi: 10.1016/j.jpor.2016.08.002
- Zhelezny SP, Tolmachev VE, Nosov SN. Prevention of inflammatory complications in dental impaction. In: Proceedings of the scientific and practical conference “Actual issues of dentistry and maxillofacial surgery”. Novokuznetsk; 2017. P. 94–97.
- Sergeev AA. Complications in prosthetics on implants. In: Proceedings of the All-Russian “scientific – practical” conference “Stomatology today and tomorrow”. Moscow; 2015. 182 p.
- Bronstein DA. Non-removable prosthetics in the complete absence of teeth with the use of intraosseous implants in the frontal section of the jaws (clinical, biomechanical and economic aspects) [dissertation abstract]. Moscow; 2018. 48 p. Available from: https://search.rsl.ru/ru/record/01008705117 (In Russ.)
- Mashkov KN. Application of dental implants in the complete absence of teeth. Bulletin of Medical Internet Conferences. 2019;9(6):243–244. (In Russ.)
- Trezubov VN. Clinical Dentistry. Textbook. Trezubov VN, Arutyunov SD, eds. Moscow; 2015. 778 p. (In Russ.)
- Mamirgov TT, Krechetov SA. Prosthetics on 4 implants in the complete absence of teeth with acute atrophy of the alveolar ridges of the jaws. Bulletin of Medical Internet Conferences. 2017;7(9): 1416–1417.
- Paraskevich VL. Dental implantology. Fundamentals of theory and practice. Minsk. Unipress; 2016. 368 p. (In Russ.)
- Shevela TL. Prosthetics with complete secondary edentulous on dental implants: case study. Orenburg Medical Bulletin. 2019;7(4):28.
Supplementary files





























