Features of the location of the occlusal plane to the Camper horizontal, taking into account the type of growth of the jaws
- Authors: Yagupova T.T.1, Dmitrienko T.D.1, Yukhnov I.N.1
-
Affiliations:
- Volgograd State Medical University
- Issue: Vol 2, No 2 (2024)
- Pages: 83-90
- Section: Clinical dentistry and maxillofacial surgery
- Submitted: 17.06.2024
- Accepted: 20.06.2024
- Published: 28.06.2024
- URL: https://stomuniver.ru/unistom/article/view/633519
- DOI: https://doi.org/10.17816/uds633519
- ID: 633519
Cite item
Full Text
Abstract
BACKGROUND: In prosthetic dentistry and orthodontics, the occlusal plane receives particular attention when analyzing the location of the main planes. To determine it, many landmarks have been proposed, such as the Camper horizontal plane, HIP plane, etc. Information about the advisability of using the Camper horizontal plane as a guideline when constructing a prosthetic plane in people with occlusion anomalies has been conflicting.
AIM: This study aimed to determine the features of the location of the occlusal plane in relation to the Camper horizontal plane in people with different types of growth in the gnathic part of the face.
MATERIALS AND METHODS: A randomized retrospective study was conducted on 67 teleradiographs with signs of physiological occlusion. The Camper horizontal plane was delineated from the subnasal to the tragionic point, which on the teleradiograph corresponded to the location of the lower edge of the external auditory canal. The occlusal line connected the contact point of the antagonizing medial incisors to the distal occlusal point of the last molars.
RESULTS: To determine the prosthetic plane in a prosthetic dentistry clinic, the Kamper horizontal plane is recommended as a guideline only in people with a neutral type of growth of the gnathic part. In the comparative analysis of the location of the Kamperian horizontal plane with the occlusive line, with horizontal and vertical types of jaw growth, a characteristic feature was that they were not located parallel to each other.
CONCLUSION: Thus, to assess the optimal location of the occlusive plane in horizontal and vertical types of jaw growth, other landmarks must be determined. The results of this study can be used in prosthetic dentistry in people with full adentia and in orthodontics to diagnose anomalies in the location of the occlusive plane.
Full Text
АКТУАЛЬНОСТЬ
Особенностям расположения основных анатомических частей в структуре черепа уделяется внимание со стороны стоматологов и морфологов с учетом индивидуальных особенностей онтогенеза [1]. В данном наблюдении авторы отметили при росте челюстей динамичность изменения положения основных структур черепно-лицевого комплекса, обусловленных сменой молочных зубов на постоянные и имеющих групповую зависимость. Определены особенности зубов обеих генераций и их расположение на окклюзионной плоскости [2]. Зависимость положения зубов и их окклюзия с анагонирующими парами определяет особенности моделирования в учебном и прикладном плане [3].
Исследователи отмечают половой диморфизм анатомических частей с учетом конституционных различий пациентов [4, 5]. Рассмотрены особенности морфометрии лицевого отдела с учетом типов роста у людей с физиологическими вариантами окклюзионных соотношений [6, 7]. Отмечены основные показатели морфометрии, характеризующие типы роста челюстей, в которых основное внимание уделено углу нижней челюсти, его величина при нейтральном типе варьирует от 119 до 123°. Проведена детальная и комплексная оценка основных параметров зубочелюстных дуг, принадлежащих к аркадным и дентальным показателям [8, 9].
Для определения типов дентальных дуг в настоящее время используются современные методы диагностики, предложены оригинальные ориентиры определения размеров арок по диагонали [10]. Представлен подробный сравнительный анализ классических и современных методов исследования зубных арок [11].
Среди многочисленных методов морфометрии головы и лица в прижизненных условиях особое значение имеют рентгенологические [12, 13]. В работе представлен сопоставительный анализ результатов, полученных при непосредственной морфометрии головы с данными рентгенологических исследований, отмечены преимущества и недостатки каждого из них. Данное исследование было проведено при физиологической окклюзии и легло в основу дальнейших наблюдений и использовалось в качестве критериев достоверности и эффективности их проведения. Специалисты отметили особенности размеров зубов (макродонтный тип системы) в зависимости от параметров головы [14].
Современная стоматологическая диагностика основывается на данных компьютерного анализа томограмм и в настоящее время представлены сведения об индивидуальной анатомической изменчивости основных частей кранио-фациального комплекса, включая элементы нижнечелюстного сустава [15–17].
Учитывая материальные затраты пациентов при проведении исследования с использованием метода конусно-лучевой компьютерной томографии, широкое применение в практической ортодонтии и протетической стоматологии получил метод телерентгенографии [18]. Авторы исследования отметили закономерности роста челюстей и расположение основных диагностических линий и углов при физиологическом прикусе.
На основании данных сопоставительного анализа морфометрии головы и лица разработаны алгоритмы обследования пациентов, определяющие соразмерность анализируемых комплексов головы [19, 20]. Не исключается целесообразность, помимо морфометрии, оценки функции жевательного органа в нормальных и аномальных условиях [21].
В ортопедической стоматологии и ортодонтии при анализе расположения основных плоскостей особое внимание уделяется расположению окклюзионной плоскости [22]. Отмечено значение камперовской горизонтали в качестве ориентира протетической плоскости при протезировании дефектов зубных дуг у пациентов в разном возрасте. Отмечена важность определения и использования протетической плоскости при изготовлении эстетических конструкций зубных протезов [23].
Для определения положения плоскости окклюзии в настоящее время предложено множество ориентиров, таких как камперовская горизонталь, HIP-плоскость и др. [24, 25].
Определена зависимость положения плоскости окклюзии от величины нижнечелюстного угла, являющегося одним из показателей роста челюсти [26]. Более выражена патология окклюзионной линии у людей с аномалиями в вертикальном направлении, что отражается на биомеханике жевательного органа [27]. В связи с этим стремление нормализовать положение окклюзионной линии различными аппаратами определяет протокол ведения пациентов с аномалиями окклюзии [28, 29]. Отмечено влияние выраженности аномалии на тактику диагностических и лечебных мероприятий [30].
В то же время, учитывая противоречивые сведения о целесообразности использования камперовской горизонтали в качестве ориентира при конструировании протетической плоскости, нами сформулирована цель работы — определить особенности расположения окклюзионной плоскости по отношению к камперовской горизонтали у людей с различными типами роста гнатического отдела лица.
МАТЕРИАЛЫ И МЕТОДЫ
Рандомизированное ретроспективное исследование выполнено на 67 музейных телерентгенограммах с признаками физиологического прикуса. После измерения угла нижней челюсти рентгенограммы были стратифицированы на 3 группы с учетом типа роста лица. В 1-й группе анализировались рентгенограммы, на которых величина нижнечелюстного угла составляла от 119 до 123°, как при нейтральном типе роста. Во 2-ю группу вошли рентгенограммы с углом нижней челюсти менее 118°, их оценивали как горизонтальный тип роста. В 3-й группе значение нижнечелюстного угла превышало 124° — вертикальный тип роста.
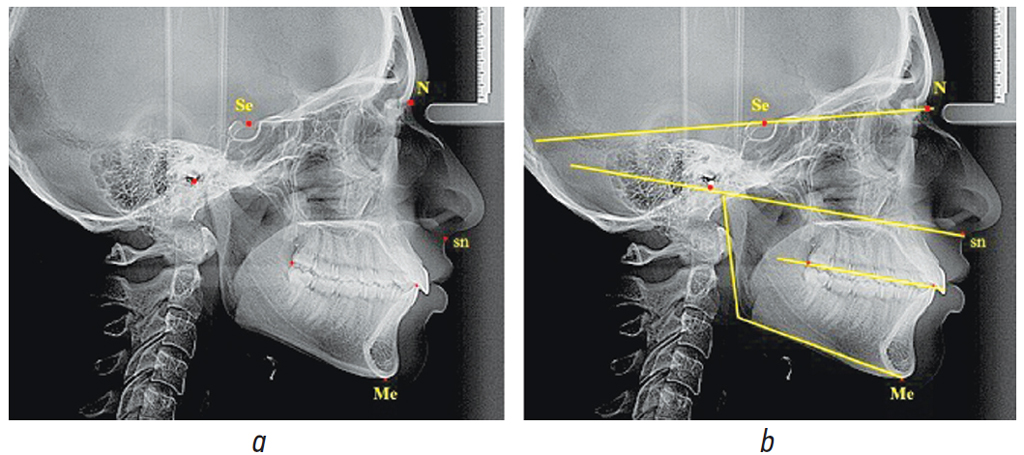
Из большого количества костных и кожных ориентиров, используемых в ортодонтии, нами были выбраны плоскость основания черепа по Шварцу (N-Se), мандибулярная плоскость и касательная к ветви челюсти с образованием и анализом нижнечелюстного угла. Камперовскую горизонталь проводили от субназальной до трагиональной точки, которая на телерентгенограмме соответствовала расположению нижнего края наружного слухового прохода. Окклюзионная линия соединяла контактную точку антагонирующих медиальных резцов с дистальной окклюзионной точкой последних моляров (рис. 1).
Рис. 1. Особенности анализа с расположением точек (а) и линий (b) для построения окклюзионной плоскости
Fig. 1. Analysis of the arrangement of points (a) and lines (b) for the construction of an occlusal plane
Было проанализировано положение диагностических линий и выполнено измерение углов между ними. Анализ проводился с применением компьютерной программы Microsoft Excel с составлением вариационных рядов по каждой группе с расчетом средней величины, ошибки (M ± m) и определением достоверности по Стьюденту.
РЕЗУЛЬТАТЫ И ИХ ОБСУЖДЕНИЕ
В ходе исследования проанализировано 25 телерентгенограмм, по величине нижнечелюстного угла отнесенные к нейтральному типу роста челюстей. В относительных величинах количественный показатель исследуемой группы составил 37,31 ± 5,91 % от общего количества наблюдений.
Величина нижнечелюстного угла в среднем по 1-й группе составляла 120,26° ± 1,34°. Величина угла, образованного камперовской горизонталью и плоскостью основания черепа, составляла 15,12° ± 0,39° (рис. 2).
Рис. 2. Особенности расположения линий и углов (а) и сопоставительный анализ камперовской и окклюзионной линий (b) в 1-й группе
Fig. 2. Location of lines and angles (a) and comparative analysis of the Camper and occlusal lines (b) in group 1
Характерная особенность сопоставительного анализа расположения камперовской горизонтали с окклюзионной линией — их расположение практически параллельно. Полученные данные согласуются с мнением большинства специалистов о том, что для определения протетической плоскости в протетической стоматологии рекомендуется в качестве ориентира использовать камперовскую горизонталь.
В исследовании было проанализировано 20 телерентгенограмм, по величине нижнечелюстного угла отнесенных к горизонтальному типу роста челюстей. В относительных величинах количественный показатель исследуемой группы составил 29,85 ± 5,59 % от общего количества наблюдений, достоверной разницы по численному составу групп нами не отмечено (p > 0,05). Величина нижнечелюстного угла в среднем по группе с горизонтальным типом роста составляла 115,07° ± 1,85°, что достоверно отличалось от показателей величины угла 1-й группы исследования (p < 0,05). Величина угла, образованного камперовской горизонталью и плоскостью основания черепа, составляла 14,12° ± 0,39°, по этому показателю нами не отмечено различий (p > 0,05) с 1-й группой (рис. 3).
Рис. 3. Особенности расположения линий и углов (а) и сопоставительный анализ камперовской и окклюзионной линий (b) во 2-й группе
Fig. 3. Arrangement of lines and angles (a) and comparative analysis of the Camper and occlusal lines (b) in group 2
Характерной особенностью сопоставительного анализа расположения камперовской горизонтали с окклюзионной линией, было то, что они располагались не параллельно друг другу. В сопоставлении анализируемые линии образовывали острый угол, открывающийся кзади.
Полученные данные свидетельствуют о том, что у людей с вертикальным типом роста, так же как и с горизонтальным, не рекомендуется в качестве ориентира использовать камперовскую горизонталь и необходимо выбрать другие ориентиры для конструирования окклюзионной плоскости.
Проанализировано 22 телерентгенограммы, по величине нижнечелюстного угла отнесенные к вертикальному типу роста челюстей (3-я группа). В относительных величинах количественный показатель исследуемой группы составил 32,84 ± 5,73 %.
Величина нижнечелюстного угла в среднем по группе с горизонтальным типом роста составляла 125,94° ± 1,79°, что достоверно отличалось от показателей величины угла в 1-й и 2-й группах исследования (p < 0,05). В 3-й группе величина угла, образованного камперовской горизонталью и плоскостью основания черепа, составляла 15,62° ± 0,73°, по этому показателю нами не отмечено различий (p > 0,05) между 1-й и 2-й группами наблюдений (рис. 4).
Рис. 4. Особенности расположения линий и углов (а) и сопоставительный анализ камперовской и окклюзионной линий (b) в 3-й группе
Fig. 4. Arrangement of lines and angles (a) and comparative analysis of the Camper and occlusal lines (b) in group 3
Характерная особенность сопоставительного анализа расположения камперовской горизонтали с окклюзионной линией — они располагались не параллельно друг другу. В сопоставлении анализируемые линии образовывали острый угол, открывающийся кпереди, в отличие от 1-й и 2-й групп.
Полученные данные свидетельствуют о том, что у людей с вертикальным типом роста, также как и с горизонтальным, не рекомендуется в качестве ориентира использовать камперовскую горизонталь и необходимо выбирать другие ориентиры для конструирования окклюзионной плоскости.
ВЫВОДЫ
- Камперовская горизонталь проходит параллельно окклюзионной линии у людей с физиологической окклюзией и нейтральным ростом челюстей.
- При горизонтальном типе роста камперовская горизонталь с окклюзионной линией образует угол, открывающийся кзади.
- При вертикальном типе роста камперовская горизонталь с окклюзионной линией образует угол, открывающийся кпереди.
ЗАКЛЮЧЕНИЕ
Таким образом, в результате проведенного исследования было установлено, что для определения протетической плоскости в протетической стоматологии рекомендуется в качестве ориентира использовать камперовскую горизонталь только у людей с нейтральным типом роста лица. Для оценки оптимального расположения окклюзионной плоскости при горизонтальном и вертикальном типах роста челюстей, необходимо определять другие ориентиры что можно применить в ортопедической стоматологии при протезировании людей с полной адентией и в ортодонтии для диагностики аномалии расположения окклюзионной плоскости.
ДОПОЛНИТЕЛЬНАЯ ИНФОРМАЦИЯ
Вклад авторов. Все авторы внесли существенный вклад в подготовку статьи, прочли и одобрили финальную версию перед публикацией. Личный вклад каждого автора: В.Т. Ягупова — сбор материала, анализ полученных данных, Т.Д. Дмитриенко — дизайн исследования, написание и редактирование текста рукописи; И.Н. Юхнов — разработка методов построения окклюзионных линий на телерентгенограмме, описание главы методов исследования.
Источник финансирования. Авторы заявляют об отсутствии внешнего финансирования при написании статьи.
Конфликт интересов. Авторы декларируют отсутствие явных и потенциальных конфликтов интересов, связанных с публикацией настоящей статьи.
Этический комитет. Статья содержит материалы исследования.
Информированное согласие на публикацию. Все участники добровольно подписали форму информированного согласия до публикации статьи.
ADDITIONAL INFORMATION
Authors’ contribution. All the authors made a significant contribution to the preparation of the article, read and approved the final version before publication. Personal contribution of each author: V.T. Yagupova — collection of material, analysis of the data obtained, T.D. Dmitrienko — design of the study, writing and editing the text of the manuscript; I.N. Yukhnov — development of methods for constructing occlusal lines on teleradiography, description of the chapter of research methods.
Funding source. The authors claim that there is no external funding when writing the article.
Competing interests. The authors declare the absence of obvious and potential conflicts of interest related to the publication of this article.
Ethics approval. The article contains research materials.
Informed consent to publication. All participants voluntarily signed an informed consent form prior to the publication of the article.
About the authors
Tatyana T. Yagupova
Volgograd State Medical University
Email: violeta.yagupova@mail.ru
MD, Cand. Sci. (Med.)
Russian Federation, VolgogradTatyana D. Dmitrienko
Volgograd State Medical University
Author for correspondence.
Email: svdvolga@yandex.ru
ORCID iD: 0000-0002-0935-5575
SPIN-code: 6118-8965
MD, Cand. Sci. (Med.), Associate Professor
Russian Federation, VolgogradIlya N. Yukhnov
Volgograd State Medical University
Email: ilyuyhnov@bk.ru
SPIN-code: 3554-5287
assistant
Russian Federation, VolgogradReferences
- Gorelik EV, Izmailova TI, Krayushkin AI. Features of the craniofacial complex in different age periods. Morphology. 2006;129(4):39. (In Russ.) EDN: TRVXZJ
- Samusev RP, Krayushkin AI. Fundamentals of clinical morphology of teeth. Moscow: ONIKS21 century: World and Education; 2002. 368 p. (In Russ.)
- Shkarin VV, Domenyuk DA, Dmitrienko DS. Basics of tooth modelling and dental arch construction. Saint Petersburg: Lan; 2021. 164 p. (In Russ.)
- Domenyuk DA, Davydov BN, Dmitrienko SV, et al. Variability of cephalometric indices in men and women with mesocefalic form of the head and various constitutional types of face. The dental institute. 2018;(1):70–73. EDN: UPPLMC
- Shkarin VV, Domenyuk DA, Lepilin АV, et al. Odontometric indices fluctuation in people with physiological occlusion. Archiv euromedica. 2018;8(1):12–18. EDN: XSOIWL doi: 10.35630/2199-885X/2018/8/1/12
- Korobkeev AA, Domenyuk DA, Shkarin VV, Dmitrienko SV. Types off acial heart depth in physiological occlusion. Medical news of the North Caucasus. 2018;13(4):627–630. EDN: SSXMHR doi: 10.14300/mnnc.2018.13122
- Dmitrienko SV, Domenyuk DA, Melekhow SV, et al. Analitical approach withim cephalometric studies assessment in people with various somatotypes. Archiv EuroMedica. 2019;9(3):103–111. EDN: SNWDJC doi: 10.35630/2199-885X/2019/9/3.29
- Domenyuk DA, Davydov BN, Vedeshina EG, Dmitrienko SV. Comprehensive evaluation of physiological occlusion of permanent teeth in people with different gnathic, dental types of face and dental arches. Medical alphabet. 2017;3(24):51–55. EDN: ZVRDBH
- Shkarin VV, Dmitrienko TD, Kochkonyan TS, et al. Modern ideas about the shape and size of human dental arches. Journal of Volgograd State Medical University. 2021;18(4):12–19. EDN: YGFZLE doi: 10.19163/1994-9480-2021-4(80)-12-19
- Dmitrienko SV, Shkarin VV, Dmitrienko TD. Methods of biometric study of dento-mandibular arches. Volgograd: VolgGMU Publishing House; 2022. 220 p. (In Russ.)
- Shkarin VV, Dmitrienko TD, Yagupova VT, et al. Analysis of classical and modern methods of biometric examination of dental arches in the period of permanent teeth (literature review). Journal of Volgograd State Medical University. 2022;19(1):9–16. EDN: RZKFLT doi: 10.19163/1994-9480-2022-19-1-9-161
- Domenyuk DA, Davydov BN, Vedeshina EG, Dmitrienko SV. Radiological and morphometric methods for comprehensive assessment of cephalo-odontologic status in dental patients. The dental institute. 2017;(2):58–61. EDN: YUEDYJ
- Domenyuk DA, Davydov BN, Vedeshina EG, Dmitrienko SV. Radiological and morphometric methods for comprehensive assessment of cephalo-odontologic status in dental patients. The dental institute. 2017;(3):32–35. EDN: ZRDQZN
- Korobkeev AA, Tsaturyan LD, Vedeshina EG. Features of maxillofacial region in macrodontism of permanent teeth. Stavropol: Stavropol State Medical University Publishing House; 2016. 159 p. (In Russ.)
- Davydov BN, Domenyuk DA, Dmitrienko SV, et al. Improving diagnostics of periodontal diseases in children with connective tissue dysplasia based on X-ray morphometric and densitometric data. Parodontologiya. 2020;25(4):266–275. EDN: ZTYGYT doi: 10.33925/1683-3759-2020-25-4-266-275
- Domenyuk DA, Davydov BN, Dmitrienko SV, et al. Diagnostic opportunities of cone-box computer tomography in conducting craniomorphological and craniometric research in assessment of individual anatomical variability. The dental institute. 2018;(4):52–55. EDN: YTPBAD
- Dmitrienko SV, Fomin IV, Domenyuk DA, et al. Enhancement of research method for spatial location of temporomandibular elements and maxillary and mandibular incisor. Archiv EuroMedica. 2019;9(1):38–44. EDN: AQIIYC doi: 10.35630/2199-885X/2019/9/1/38
- Domenyuk DA, Dmitrienko SV, Porfyriadis MP. Major telerenthengogram indicators in people with various growth types of facial area. Archiv EuroMedica. 2018;8(1):19–24. EDN: XSOJDF doi: 10.35630/2199-885X/2018/8/1/19
- Domenyuk DA, Vedeshina EG, Dmitrienko SV, Orfanova ZhS. Comparative analysis of dentoalveolar arch morphometric parameters in case of arch shape variations. Kuban Scientific Medical Bulletin. 2015;(2):63–69. EDN: TZCAET
- Dmitrienko SV, Zelensky VA, Domenyuk DA, Shkarin VV. Algorithm of determination of conformity of face types to the main anatomical options of tooth angues in diagnosis and treatment of orthodontic patients. Modern orthopaedic dentistry. 2017;(28):62–65. EDN: XUFCHB
- Domenyuk DA, Davydov BN, Vedeshina EG, Dmitrienko SV. Improved methods for diagnosing dentoalveolar AB-normalities based on functional shifts in oral homeostasis. The dental institute. 2016;(3):58–61. EDN: WKDYNH
- Dmitrienko SV. Justification of modern methods of orthopaedic and orthodontic treatment of children with dental defects [dissertation abstract]. Moscow: CNIIS; 1994. 34 p. (In Russ.)
- Dmitrienko SV, Klimova NN, Filimonova EV, Dmitrienko DS. Application aesthetic dentures in clinic of children’s stomatology. Orthodontics. 2007;(4):25–28. EDN: KVCIUN
- Fadeev RA, Timchenko VV. Determination of the optimal occlusal plane in patients with vertical dentoalveolar anomalies. Vestnik NOVSU. 2017;(3):98–104. EDN: ZDUFGF
- Shkarin VV, Fomin IV, Dmitrienko TD, et al. Algorithm for constructing an occlusal plane and determining the location of occlusal points on a lateral teleradiography. Volgograd scientific medical journal. 2023;20(4):44–50. EDN: TXJYIR
- Mazharov VN, Korobkeev AA, Domenyuk DA, et al. Peculiarities of the orientation of the occlusion plane in people with different types of the gnatic part of the face. Medical news of north Caucasus. 2021;16(1):42–45. EDN: NIWGYF doi: 10.14300/mnnc.2021.16011
- Shkarin VV, Kochkonyan ТS, Domenyuk DA, et al. Occlusal plane orientation in patients with dentofacial and malies based on morphometric cranio-facial measurements. Archiv EuroMedica. 2021;11(1):116–121. EDN: UPFMEJ doi: 10.35630/2199-885X/2021/11/1.26
- Fadeev RA, Lanina AN, Vishnyova NV. Clinical experience of using occlusocorrectors as an operational positioner. Acta Universitatis Dentistriae et Chirurgiae Maxillofacialis. 2023;1(1):23–28. EDN: LIYOLG doi: 10.17816/uds516341
- Shkarin VV, Lepilin AV, Fomin IV, et al. Planning of treatment in patients with orthodontic profile with registration of topography of key teeth. Medical alphabet. 2019;2(11):5–10. EDN: JXVWKU doi: 10.33667/2078-5631-2019-2-11(386)-5-10
- Fadeev RA, Lanina AN, Vishnyova NВ, Timchenko VV. Influence of the conditionality of maxillofacial anomalies on the choice of orthodontic treatment tactics. Acta Universitatis Dentistriae et Chirurgiae Maxillofacialis. 2023;1(1):29–36. EDN: FLDWHC doi: 10.17816/uds516530
Supplementary files







