Radiological support as a risk reduction tool in dental implantology
- Authors: Chibisova M.A.1, Solovyeva A.M.2, Chernovol E.M.1, Rubezhov A.L.1, Shalak O.V.1, Abakarov Z.G.3
-
Affiliations:
- North-Western State Medical University named after I.I. Mechnikov
- Almazov National Medical Research Centre
- Lana Dent Plus
- Issue: Vol 2, No 1 (2024)
- Pages: 27-34
- Section: Radiation Diagnostics in Stomatology
- Submitted: 02.04.2024
- Accepted: 22.04.2024
- Published: 27.04.2024
- URL: https://stomuniver.ru/unistom/article/view/629881
- DOI: https://doi.org/10.17816/uds629881
- ID: 629881
Cite item
Full Text
Abstract
X-ray support is one of the effective tools to reduce the risk of errors and complications in dental implantology. The combination of three-dimensional (cone-beam computed tomography) and two-dimensional (orthopantomogram and radiovisiography) X-ray examinations helps increase the long-term results of the implant treatment through detailed planning, monitoring of the correct installation of implants, dynamic assessment of the condition of tissues surrounding the implant, and early diagnosis of periimplantitis. However, no consensus has been established among practitioners of which studies and at which stages of treatment should dental implants be prescribed to a patient. These concerns increased the risk of untimely detection of errors and complications at the stages of treatment and the likelihood of overdiagnosis with the appointment of unnecessary examinations to the patient. Thus, more studies on this topic and the development of a protocol suitable for X-ray support during implant treatment are warranted.
Full Text
ВВЕДЕНИЕ
Рентгенологические исследования являются неотъемлемой частью имплантологического лечения. Хорошая визуализация костных структур, анатомически значимых образований, равно как самих имплантатов и компонентов имплантационных систем на различных этапах лечения, позволяет не только грамотно спланировать лечение, но и проконтролировать правильность его выполнения [1].
Основной целью рентгенологического сопровождения имплантологического лечения является возможность увеличить срок службы имплантатов за счет детального планирования имплантации, контроля правильной установки имплантатов, динамической оценки состояния периимплантатных тканей и ранней диагностики признаков периимплантита в течение наблюдения [2].
Рентгенологическая диагностика при подготовке к проведению протезирования с опорой на дентальные имплантаты предусмотрена клиническими рекомендациями Стоматологической ассоциации России при оказании стоматологической помощи пациентам с диагнозами частичное и полное отсутствие зубов (частичная вторичная адентия, потеря зубов вследствие несчастного случая, удаления или локализованного пародонтита) [3, 4] в разделе «Требования к диагностике амбулаторно-поликлинической». Из методов лучевой диагностики, перечисленных в названных выше документах, в разделах, посвященных алгоритмам и особенностям протезирования с использованием имплантатов, указаны панорамная и прицельная рентгенография. Вместе с тем в разделах, относящихся к требованиям к амбулаторно-поликлиническому лечению, четкий алгоритм контрольного лучевого обследования на этапах и по окончании протезирования на дентальных имплантатах не указан. Отсутствие согласованного мнения по данному вопросу нарушает преемственность в формулировке федеральных клинических рекомендаций, поскольку при других видах стоматологических вмешательств, например, при эндодонтических вмешательствах в ходе оказания помощи пациентам с заболеваниями пульпы и периапикальных тканей зубов, методы рентгено-лучевого исследования включены в клинический протокол не только на этапе диагностики, но также на этапах и по завершении лечения.
Вопрос о рациональном выборе методов рентгено-лучевого исследования также требует изучения. В настоящее время, наряду с традиционными методами планарной (плоскостной, двухмерной) рентгенографии широкое распространение в амбулаторной стоматологической практике получил метод конусно-лучевой компьютерной томографии (КЛКТ). В отличие от мультиспиральной (мультисрезовой) КТ данный метод обладает рядом преимуществ для амбулаторной практики, включая существенно меньшую дозу лучевой нагрузки и лучшую эргономичность для размещения в поликлинических условиях. Использование КЛКТ в имплантологии варьирует от предоперационного анализа анатомических особенностей и компьютерного планирования лечения до послеоперационной оценки положения имплантатов. КЛКТ является незаменимым инструментом для 3-мерного (3D) планирования и оценки положения имплантата, профилактики осложнений связанных с повреждением анатомически значимых структур, таких как верхнечелюстная пазуха, нижнеальвеолярный нерв и корни соседних зубов [5].
Вопрос об использовании КЛКТ в качестве единственного диагностического инструмента остается спорным. Наличие артефактов значительно ухудшает визуализацию тканей вокруг имплантата. Это может затруднять оценку рентгенологической картины и привести к диагностическим ошибкам [6]. В качестве более предпочтительных методов исследования могут быть рекомендованы ортопантомография и радиовизиография [7]. Оптимальный протокол рентгенологического сопровождения имплантологического лечения должен основываться на комбинации 3D (КЛКТ) и 2D (ортопантомограмма (ОПТ) и радиовизиография) рентгенологических исследований, направленных на профилактику, выявление ошибок и осложнений.
МАТЕРИАЛЫ И МЕТОДЫ
Исследование было проведено на базе архивов рентгенограмм двух стоматологических клиник: клиника А (г. Санкт-Петербург) и клиника В (г. Москва).
Для исследования отобраны электронные истории болезни 36 пациентов с завершенным протезированием на имплантатах, выполненным по 2-этапному протоколу.
Критерии включения пациентов в группу исследования:
- возраст старше 18 лет;
- включенный или концевой дефект зубного ряда протяженностью не более 3 единиц;
- на момент установки имплантата заживший альвеолярный отросток (время с момента удаления не менее 6 мес.);
- раскрытие имплантата не ранее, чем через 3 мес. после установки.
Персональные данные пациентов были зашифрованы в виде буквенно-числового кода. На каждого пациента была заведена папка с названием, соответствующим коду пациента, куда были собраны все рентгенологические обследования в процессе лечения (рис. 1).
Рис. 1. Пример папки с рентгенологическими исследованиями одного из пациентов. Персональные данные пациента зашифрованы в виде буквенно-числового кода
Fig. 1. A folder containing X-ray imaging data of one patient. Patient data are encrypted in the form of an alphabetic and numeric code
Для дальнейшего анализа исследования были разделены на группы: КЛКТ, ОПТГ, RVG (радиовизиография) (рис. 2).
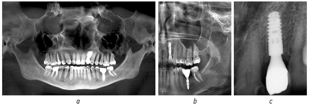
Рис. 2. Различные виды рентгенологических исследований одного и того же пациента: а — конусно-лучевая компьютерная томография; b — ортопантомография; с — радиовизиография
Fig. 2. Types of X-ray examinations of the same patient: a, cone-beam computed tomography; b, orthopantomography; c, radiovisiography
Также выполнено распределение исследований по этапам лечения (рис. 3):
- до начала лечения (диагностика);
- после установки имплантата;
- перед раскрытием имплантата;
- на этапе формирователя десневой манжеты;
- после фиксации постоянной ортопедической конструкции.
Рис. 3. Рентгенологическое обследование одного и того же пациента, выполненное на различных этапах: а — ортопантомограмма на этапе установки имплантата; b — ортопантомограмма с формирователем десневой манжеты на этапе формирования мягких тканей; с — ортопантомограмма после установки окончательной ортопедической конструкции
Fig. 3. X-ray examination of the same patient performed at various stages: a, orthopantomogram at the implant installation stage; b, orthopantomogram with healing abutment at soft tissue formation; c, orthopantomogram after the installation of the final orthopedic structure
РЕЗУЛЬТАТЫ ИССЛЕДОВАНИЯ
В процессе наблюдения 36 пациентам выполнено 113 исследований, из них 75 в клинике А и 38 в клинике В, в том числе КЛКТ — 51 (45 %) и ОПТГ — 45 (40 %) и RVG — 17 (15 %). Распределение исследований по группам представлено в таблице 1.
Таблица 1. Распределение проведенных рентгенологических исследований по видам
Table 1. Distribution of X-ray examinations by type
Вид исследований | Количество исследований | Доля, % |
Конусно-лучевая компьютерная томография | 51 | 45 |
Ортопантомограмма | 45 | 40 |
Радиовизиография | 17 | 15 |
Итого | 113 | 100 |
Таблица 2. Основные этапы имплантологического лечения, на которых пациентам проводилось рентгенологическое исследование
Table 2. Main stages of implantological treatment with X-ray examination
Этап лечения | Количество исследований в клинике А | Количество исследований в клинике В |
До начала лечения (диагностика) | 20 | 16 |
После установки имплантата | 19 | 16 |
Перед раскрытием имплантата | 17 | 0 |
С формирователем десны | 6 | 0 |
После установки ортопедической конструкции | 13 | 6 |
Итого | 75 | 38 |
Из имеющихся данных видно, что в обеих клиниках пациентам в обязательном порядке выполнялось рентгенологическое обследование до лечения. При этом в качестве метода исследования во всех случаях было отдано предпочтение КЛКТ (табл. 3).
Таблица 3. Анализ рентгенологических исследований, выполненных до лечения на этапе диагностики
Table 3. Analysis of pretreatment X-ray images at the diagnostic stage
Вид исследования | Количество исследований | Доля, % |
Конусно-лучевая компьютерная томография | 36 | 100 |
Ортопантомограмма | 0 | 0 |
Радиовизиография | 0 | 0 |
Обследование не проводилось | 0 | 0 |
Итого | 36 | 100 |
Однако дальнейший протокол рентгенологического сопровождения отличался большей вариабельностью и во многом зависел от личных предпочтений врача. То же можно сказать и о выборе метода рентгено-лучевого исследования. Если с целью диагностики до начала лечения врачебный выбор единодушно был отдан 3D лучевой диагностике (всем пациентам была выполнена КЛКТ), то в дальнейшем на одних и тех же этапах лечения пациенту могли быть назначены разные виды лучевого обследования (табл. 4).
Таблица 4. Анализ рентгенологических исследований, выполненных на различных этапах имплантологического лечения
Table 4. Analysis of X-ray images at various stages of implantological treatment
Этап лечения | Вид исследования | Количество исследований | Доля, % |
После установки имплантатов | Конусно-лучевая компьютерная томография | 7 | 19 |
Ортопантомограмма | 19 | 53 | |
Радиовизиография | 9 | 25 | |
Исследований не проводилось | 1 | 3 | |
Перед раскрытием имплантатов | Конусно-лучевая компьютерная томография | 3 | 8 |
Ортопантомограмма | 14 | 39 | |
Радиовизиография | 0 | 0 | |
Исследований не проводилось | 19 | 53 | |
На этапе формирователя десневой манжеты | Конусно-лучевая компьютерная томография | 3 | 8 |
Ортопантомограмма | 3 | 8 | |
Радиовизиография | 0 | 0 | |
Исследований не проводилось | 30 | 83 | |
После установки ортопедической конструкции | Конусно-лучевая компьютерная томография | 2 | 6 |
Ортопантомограмма | 9 | 25 | |
Радиовизиография | 8 | 22 | |
Исследований не проводилось | 17 | 47 |
ОБСУЖДЕНИЕ РЕЗУЛЬТАТОВ
Рентгенологическое обследование пациентов при протезировании с опорой на дентальные имплантаты проводится на этапах диагностики и осуществления лечения. Основной целью диагностических исследований является оценка исходной ситуации и 3D-планирование. Целью рентгенологического сопровождения на этапах лечения является операционная навигация, контроль полученных результатов и корректировка дальнейших действий.
Безусловным выбором врачей на этапе диагностического обследования пациента перед протезированием на дентальных имплантатах является метод 3D рентгено-лучевой диагностики — КЛКТ, о чем свидетельствуют полученные нами результаты. Метод КЛКТ был применен с целью диагностического обследования перед имплантацией у всех пациентов в обеих клиниках. Преимуществом данного вида исследований на этапе диагностики и планирования лечения является возможность 3D оценки формы альвеолярного отростка и расположения таких анатомически значимых образований, как корни соседних зубов, нижнечелюстной канал, верхнечелюстная пазуха. Важным аргументом в пользу выбора КЛКТ является возможность использование этого исследования для виртуального планирования лечения. Сопоставление КЛКТ со сканами зубных рядов в специальных программах-планировщиках позволяет еще до начала лечения смоделировать ортопедическую конструкцию, запланировать положение имплантата, выбрать вспомогательные и опорные ортопедические компоненты, а также решить вопрос о необходимости дополнительной аугментации кости или мягких тканей.
Для контроля правильности выполнения этапов лечения рентгенологическое обследование следует проводить не только на начальном этапе, но и в процессе лечения. Это важно для своевременного выявления ошибок и корректирования плана лечения.
На основании обзора литературы и результатов проведенного нами исследования можно сделать вывод о том, что согласованное мнение профессионального сообщества относительно единого протокола рентгенологического сопровождения имплантологического лечения на сегодняшний день отсутствует, о чем свидетельствует значительный разброс полученных данных.
Среди врачей нет единого мнения, какой именно вид рентгено-лучевого исследования предпочтительнее назначить на каждом из этапов лечения. При этом отсутствие рентгенологического контроля повышает риски ошибок при протезировании на имплантатах.
ВЫВОДЫ
- Оптимальный протокол рентгенологического сопровождения имплантологического лечения должен основываться на комбинации 3D (КЛКТ) и 2D (ОПТГ и радиовизиография) исследований.
- Вариабельность полученных данных свидетельствует об отсутствии в стоматологическом сообществе утвержденного алгоритма рентгенологического контроля на этапах имплантологического лечения.
- Отсутствие рекомендаций по рентгенологическому контролю на этапах имплантации повышает риски протезирования с опорой на имплантаты. При этом возрастает опасность несвоевременного выявления ошибок и осложнений, и вероятность гипердиагностики при назначении пациенту необоснованных исследований.
- Алгоритм рентгенологического контроля этапов имплантологического лечения требует детальной разработки, должен включать в себя рекомендации по срокам и типу проведения обследования, а также параметрам, требующим оценки в каждой конкретной ситуации.
ДОПОЛНИТЕЛЬНАЯ ИНФОРМАЦИЯ
Вклад авторов. Все авторы внесли существенный вклад в подготовку статьи, прочли и одобрили финальную версию перед публикацией. Личный вклад каждого автора: М.А. Чибисова — концепция и дизайн исследования, анализ полученных данных, обзор литературы, внесение окончательной правки; А.М. Соловьева — концепция и дизайн исследования, анализ полученных данных, внесение окончательной правки; Е.М. Черновол — концепция и дизайн исследования, сбор и обработка материалов, анализ полученных данных, написание текста, обзор литературы; А.Л. Рубежов — сбор и обработка материалов, анализ полученных данных; О.В. Шалак, З.Г. Абакаров — сбор и обработка материалов.
Источник финансирования. Авторы заявляют об отсутствии внешнего финансирования при написании статьи.
Конфликт интересов. Авторы декларируют отсутствие явных и потенциальных конфликтов интересов, связанных с публикацией настоящей статьи.
Информированное согласие на публикацию. Все участники добровольно подписали форму информированного согласия до публикации статьи.
ADDITIONAL INFORMATION
Authors’ contribution. All the authors made a significant contribution to the preparation of the article, read and approved the final version before publication. Personal contribution of each author: M.A. Chibisova — GC-MS, experimental design, data analysis, literature review, making final edits; A.M. Solovyeva — experimental design, data analysis, making final edits; E.M. Chernovol — GC-MS, experimental design, collecting and preparation of samples, data analysis, writing the main part of the text; A.L. Rubezhov — collecting and preparation of samples, data analysis; O.V. Shalak, Z.G. Abakarov — collecting and preparation of samples.
Funding source. The authors claim that there is no external funding when writing the article.
Competing interests. The authors declare the absence of obvious and potential conflicts of interest related to the publication of this article.
Informed consent to publication. All participants voluntarily signed an informed consent form prior to the publication of the article.
About the authors
Marina A. Chibisova
North-Western State Medical University named after I.I. Mechnikov
Author for correspondence.
Email: chibm@mail.ru
MD, Dr. Sci. (Med.), Professor
Russian Federation, Saint PetersburgAnna M. Solovyeva
Almazov National Medical Research Centre
Email: anna-solovyeva@mail.ru
MD, Dr. Sci. (Med.), Professor
Russian Federation, Saint PetersburgElizaveta M. Chernovol
North-Western State Medical University named after I.I. Mechnikov
Email: clinic@stomus.ru
MD, Cand. Sci. (Med.)
Russian Federation, Saint PetersburgAlexandr L. Rubezhov
North-Western State Medical University named after I.I. Mechnikov
Email: rubezhov68@mail.ru
MD, Cand. Sci. (Med.), Assistant Professor
Russian Federation, Saint PetersburgOxana V. Shalak
North-Western State Medical University named after I.I. Mechnikov
Email: oksana.shalak@szgmu.ru
MD, Cand. Sci. (Med.), Associate Professor
Russian Federation, Saint PetersburgZainutdin G. Abakarov
Lana Dent Plus
Email: zainutin2010@mail.ru
dentist
Russian Federation, MoscowReferences
- Serova NS. Radiation diagnostics in stomatological implantology. Moscow: E-noto, 2015. 220 p. (In Russ.)
- Costa JA, Mendes JM, Salazar F, et al. Analysis of peri-implant bone defects by using cone beam computed tomography (CBCT): an integrative review. Oral Radiol. 2023;39(3):455–466. doi: 10.1007/s11282-023-00683-w
- Council of the Association of Public Associations Stomatological Association of Russia, approv. Clinical recommendations (treatment protocols) for the diagnosis of partial absence of teeth (partial secondary adentia, loss of teeth due to accident, extraction or localised periodontitis). Resolution N15 of 2014 Sept 30. (In Russ.)
- Council of the Association of Public Associations Stomatological Association of Russia, approv. Clinical guidelines (treatment protocols) for the diagnosis of complete absence of teeth (complete secondary adentia, loss of teeth due to accident, extraction or localised periodontitis). Resolution N15 of 2014 Sept 30. (In Russ.)
- Bornstein MM, Scarfe WC, Vaughn VM, Jacobs R. Cone beam computed tomography in implant dentistry: a systematic review focusing on guidelines, indications, and radiation dose risks. Int J Oral Maxillofac Implants. 2014;29(S):55–77. doi: 10.11607/jomi.2014suppl.g1.4
- Kim M-J, Lee S-S, Choi M, et al. Developing evidence-based clinical imaging guidelines of justification for radiographic examination after dental implant installation. BMC Med Imaging. 2020;20(1):102. doi: 10.1186/s12880-020-00501-3
- Khafizov RG, Zhitko AK, Azizova DA, et al. Stomatological radiology. Kazan: Kazan University, 2015. 64 p. (In Russ.)
Supplementary files






