Influence of the conditionality of maxillofacial anomalies on the choice of orthodontic treatment tactics
- Authors: Fadeev R.A.1,2,3,4, Lanina A.N.1, Vishnyova N.5, Timchenko V.V.1,2
-
Affiliations:
- North-Western State Medical University named after I.I. Mechnikov
- Private Educational Institution of Additional Professional Education, St. Petersburg Institute of Dentistry
- Novgorod State University named after Yaroslav the Wise
- Romanovsky Medical and Legal Center
- Academician I.P. Pavlov First St. Petersburg State Medical University
- Issue: Vol 1, No 1 (2023)
- Pages: 29-36
- Section: Clinical dentistry and maxillofacial surgery
- Submitted: 30.06.2023
- Accepted: 13.11.2023
- Published: 23.01.2023
- URL: https://stomuniver.ru/unistom/article/view/516530
- DOI: https://doi.org/10.17816/uds516530
- ID: 516530
Cite item
Full Text
Abstract
The article examines the dependence of the orthodontic treatment tactics on the conditionality of the maxillofacial anomaly. Thus, in the presence of identical-sounding diagnoses and even similar degrees of severity of signs of maxillofacial abnormalities, the recommended treatment plans may differ significantly. In some cases, the distal ratio of dentition in patients with complete growth can be adjusted using the Herbst apparatus, in cases of resorption of the articular head of the mandible and concomitant facial asymmetry, hardware-surgical treatment may be preferable.
Full Text
ВВЕДЕНИЕ
Применение в клинической практике метода количественной оценки зубочелюстно-лицевых аномалий (ЗЧЛА) AMORF (Aesthetics, Morphology, Occlusion, Resorption, Function — эстетика, морфология, окклюзия, резорбция, функция) [1], позволяет выделить 3 степени выраженности нарушений в сагиттальном, вертикальном и трансверзальном направлениях, и дает возможность выбрать тактику лечения. Пациентам с завершенным ростом лицевого отдела черепа, у которых большинство признаков ЗЧЛА соответствует 1-й степени выраженности, может быть предложен аппаратурный метод лечения, со 2-й степенью выраженности — аппаратурно-хирургический метод лечения с перемещением зубов при помощи ортодонтических мини-имплантатов или удалением не подлежащих лечению зубов, с 3-й степенью выраженности — аппаратурно-хирургический метод лечения с применением реконструктивных операций. В то же время тактика лечения должна определяться обусловленностью аномалии.
КЛИНИЧЕСКИЕ ПРИМЕРЫ
Пациент Ч., 30 лет (рис. 1, 2), и пациентка Ж., 25 лет (рис. 3, 4), обратились в клинику с жалобами на неровное положение зубов, заднее положение подбородка. В результате осмотра у обоих выявлено дистальное соотношение зубных рядов, глубокий прикус, тесное положение зубов легкой степени, увеличение выпуклости лицевого профиля и лица, уменьшение нижней трети лица, у пациентки Ж. — смещение подбородка влево.
Рис. 1. Фотографии лица пациента Ч. при поступлении в клинику
Fig. 1. Patient Ch.’s face on admission to the clinic
Рис. 2. Зубные ряды пациента Ч. до лечения в боковых (а, b), прямой (c), окклюзионных (d, e) проекциях
Fig. 2. Dental rows of patient Ch. before treatment in lateral (a, b), straight (c), and occlusal (d, e) projections
Рис. 3. Фотографии лица пациентки Ж. при поступлении в клинику
Fig. 3. Face of patient Zh. on admission to the clinic
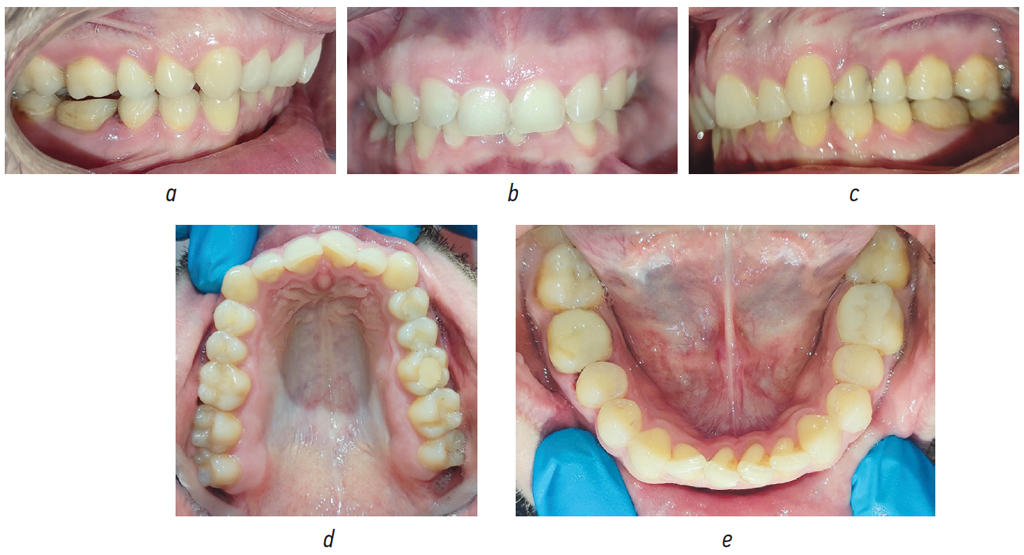
Рис. 4. Зубные ряды пациентки Ж. до лечения в боковых (а, c), прямой (b), окклюзионных (d, e) проекциях
Fig. 4. Dental rows of patient Zh. before treatment in lateral (a, c), straight (b), and occlusal (d, e) projections
Рентгеноцефалометрический анализ боковых телерентгенограмм (ТРГ) (рис. 5 а, b) выявил у обоих пациентов верхнюю и нижнюю ретро- и микрогнатию, ретрузию верхних резцов, увеличение выпуклости лицевого профиля, лица, заднее положение подбородочного отдела. Анализ ТРГ в прямой проекции, выполненной пациентке Ж. по показаниям, — асимметрию нижней челюсти, выражающуюся в смещении подбородочного отдела влево и разнице в длине ее ветвей.
Рис. 5. Боковые телерентгенограммы пациента Ч. (а) и пациентки Ж. (b) до лечения
Fig. 5. Lateral teleradiography of patient Ch. (a) and patient Zh. (b) before treatment
Рис. 6. Прямая телерентгенограмма пациентки Ж.
Fig. 6. Direct teleradiograph of patient Zh.
На рис. 7 представлены выполненные с помощью конусно-лучевой компьютерной томографии (КЛКТ) срезы зубных рядов пациентов, анализ которых позволил выявить периапикальные очаги деструкции костной ткани в области отдельных зубов (а, b), гипертрофию слизистой оболочки верхнечелюстной пазухи (а), ретенцию нижних третьих моляров (b).
Рис. 7. Срезы конусно-лучевой компьютерной томографии пациента Ч. (а) и пациентки Ж. (b) до лечения: а — периапикальные очаги деструкции в области зубов 2.6, 3.7, 3.6, 4.6, гипертрофия слизистой оболочки верхнечелюстной пазухи слева; b — очаги деструкции костной ткани в области корней зубов 3.6, 3.1, ретенция зубов 3.8, 4.8
Fig. 7. Cone-beam computed tomography slices of patient Ch. (a) and patient Zh. (b) before treatment: (a) periapical foci of destruction in the area of teeth 2.6, 3.7, 3.6, and 4.6, hypertrophy of the maxillary sinus mucosa on the left; (b) foci of bone destruction in the area of the roots of teeth 3.6 and 3.1, and retention of teeth 3.8 and 4.8
Результаты количественной оценки ЗЧЛА пациентов представлены в табл. 1 и 2. Из таблиц видно, что нарушения эстетики и окклюзии в сагиттальном направлении у обоих пациентов соответствовали 3-й степени выраженности, морфологии в сагиттальном направлении 2-й степени у пациента Ч. и 3-й — у пациентки Ж., нарушения эстетики и окклюзии в вертикальном направлении — 2-й степени, окклюзии в трансверзальном направлении — 1-й степени, тесное положение зубов — 1-й степени. У пациентки Ж. нарушения эстетики лица соответствовали 2-й степени, а морфологии — 1-й степени выраженности в трансверзальном направлении.
Таблица 1. Количественная оценка признаков зубочелюстно-лицевой аномалии пациента Ч. до лечения AMORF
Table 1. Quantitative assessment of the signs of dentomandibular anomaly in patient Ch. before AMORF treatment
Направление | A | M | O | R | F | |
Сагиттальное | 3 | 2 | 3 | 0 | 0 | |
Вертикальное | 2 | 0 | 2 | 0 | ||
Трансверзальное | 0 | 0 | 1 | 0 | ||
Признак | 1-я степень | 2-я степень | 3-я степень | |||
Тесное положение | 1 | – | – | |||
Ретенция | – | – | – | |||
Корневая резорбция | – | – | – | |||
Адентия / избыток места | – | – | ||||
Примечание: AMORF — Aesthetics, Morphology, Occlusion, Resorption, Function (эстетика, морфология, окклюзия, резорбция, функция).
Таблица 2. Количественная оценка признаков зубочелюстно-лицевой аномалии пациентки Ж. до лечения AMORF
Table 2. Quantitative assessment of the signs of dentoalveolar–facial anomaly in patient Zh. before AMORF treatment
Направление | A | M | O | R | F | |
Сагиттальное | 3 | 3 | 3 | 0 | 0 | |
Вертикальное | 2 | 1 | 2 | 0 | ||
Трансверзальное | 2 | 1 | 1 | 0 | ||
Признак | 1-я степень | 2-я степень | 3-я степень | |||
Тесное положение | 1 | – | – | |||
Ретенция | – | – | – | |||
Корневая резорбция | – | – | – | |||
Адентия / избыток места | – | – | ||||
Примечание: AMORF — Aesthetics, Morphology, Occlusion, Resorption, Function (эстетика, морфология, окклюзия, резорбция, функция).
Обоим пациентам предложен аппаратурно-хирургический план лечения, подразумевающий санацию полости рта, декомпенсацию соотношения зубных рядов при помощи брекет-системы, двучелюстную/одночелюстную операцию с перемещением обеих челюстей/нижней челюсти вперед. Анализ КЛКТ височно-нижнечелюстного сустава (ВНЧС) пациента Ч. (рис. 8 а, b) позволил рассматривать в качестве альтернативного плана коррекцию соотношения зубных рядов в сагиттальном и вертикальном направлениях при помощи аппарата Гербста [2–4]. Анализ КЛКТ ВНЧС пациентки Ж. (рис. 9 а, b) выявил переднее положение головки нижней челюсти справа и ее резорбцию слева, что позволило обосновать план лечения с применением ортогнатической операции и эндопротезированием с целью коррекции признаков ЗЧЛА в сагиттальном, вертикальном и трансверзальном направлениях [5] (рис. 10).
Рис. 8. Сагиттальный срез конусно-лучевой компьютерной томографии височно-нижнечелюстного сустава пациента Ч. справа (а) и слева (b)
Fig. 8. Sagittal slice of cone-beam computed tomography of the temporomandibular joint of patient Ch. on the right (a) and left (b)
Рис. 9. Сагиттальный срез конусно-лучевой компьютерной томографии височно-нижнечелюстного сустава пациентки Ж. справа (а) и слева (b)
Fig. 9. Sagittal slice of cone-beam computed tomography of the temporomandibular joint of patient Zh.; right (a) and left (b)
Рис. 10. Титановый эндопротез височно-нижнечелюстного сустава: общий вид в черепе (а), фиксация искусственной суставной ямки к скуловой дуге (b) (данные из архива П.Н. Вопиловского, А.В. Павлова, Д.М. Ельчанинова)
Fig. 10. Titanium endoprosthesis of the temporomandibular joint: general view in the skull (a), fixation of the artificial articular fossa to the zygomatic arch (b) (data from the archive of P.N. Vopilovsky, A.V. Pavlov, D.M. Yelchaninov)
ВЫВОДЫ
- Применение в клинической практике метода количественной оценки ЗЧЛА AMORF позволяет выбрать оптимальную тактику лечения.
- Тактика лечения определяется обусловленностью аномалии.
ДОПОЛНИТЕЛЬНАЯ ИНФОРМАЦИЯ
Вклад авторов. Все авторы внесли существенный вклад в подготовку статьи, прочли и одобрили финальную версию перед публикацией. Личный вклад каждого автора: Р.А. Фадеев — сбор материала, написание и редактирование текста рукописи; А.Н. Ланина — сбор материала, анализ полученных данных, написание текста рукописи; Н.В. Вишнёва — сбор материала, анализ полученных данных, написание текста рукописи; В.В. Тимченко — сбор материала, анализ полученных данных, написание текста рукописи.
Источник финансирования. Авторы заявляют об отсутствии внешнего финансирования при написании статьи.
Конфликт интересов. Авторы декларируют отсутствие явных и потенциальных конфликтов интересов, связанных с публикацией настоящей статьи.
Этический комитет. Материал статьи демонстрирует результаты клинического наблюдения, не содержит материалы исследования.
Информированное согласие на публикацию. Все участники добровольно подписали форму информированного согласия до публикации статьи.
ADDITIONAL INFORMATION
Authors’ contribution. All the authors made a significant contribution to the preparation of the article, read and approved the final version before publication. Personal contribution of each author: R.A. Fadeev — collecting material, writing and editing the text of the manuscript; A.N. Lanina — collecting material, analyzing the data obtained, writing the text of the manuscript; N.V. Vishneva — collecting material, analyzing the data obtained, writing the text of the manuscript; V.V. Timchenko — collecting material, analysis of the received data, writing the text of the manuscript.
Funding source. The authors claim that there is no external funding when writing the article.
Competing interests. The authors declare the absence of obvious and potential conflicts of interest related to the publication of this article.
Ethics approval. The material of the article demonstrates the results of clinical observation, does not contain research materials.
Consent for publication. All participants voluntarily signed the informed consent form prior to the publication of the article.
About the authors
Roman A. Fadeev
North-Western State Medical University named after I.I. Mechnikov; Private Educational Institution of Additional Professional Education, St. Petersburg Institute of Dentistry; Novgorod State University named after Yaroslav the Wise; Romanovsky Medical and Legal Center
Email: sobol.rf@yandex.ru
ORCID iD: 0000-0003-3467-4479
SPIN-code: 4556-5177
Scopus Author ID: 6503892124
MD, Dr. Sci. (Medicine)
Russian Federation, Saint Petersburg; Saint Petersburg; Veliky Novgorod; Saint PetersburgAnastasia N. Lanina
North-Western State Medical University named after I.I. Mechnikov
Author for correspondence.
Email: sadis57@mail.ru
ORCID iD: 0000-0002-4501-2166
SPIN-code: 4585-8331
MD, Cand. Sci. (Medicine)
Russian Federation, Saint PetersburgNataliia Vishnyova
Academician I.P. Pavlov First St. Petersburg State Medical University
Email: hirstom_pspbgmu@mail.ru
ORCID iD: 0000-0001-9186-5277
SPIN-code: 9720-0502
MD, Cand. Sci. (Medicine)
Russian Federation, Saint PetersburgVladimir V. Timchenko
North-Western State Medical University named after I.I. Mechnikov; Private Educational Institution of Additional Professional Education, St. Petersburg Institute of Dentistry
Email: vladimirtimchenko@yandex.ru
ORCID iD: 0000-0001-7039-519X
MD, Cand. Sci. (Medicine)
Russian Federation, Saint Petersburg; Saint PetersburgReferences
- Fadeev RA, Lanina AN, Lee PV. Quantitative assessment of dento-mandibular-facial anomalies: Textbook. 2nd ed., revision and supplement. St. Petersburg: Eco-Vector; 2021. 144 p.
- Arsenina OI. Orthodontic treatment of patients with inferior retrognathia and temporomandibular joint dysfunction. Moscow: TsNIIS and ChlH; 2019.
- Fadeev RA, Pirsky ND. Ponomareva EA. Treatment of skeletal forms class ii malocclusion in adults with herbst-multibracket appliance. Institute of Stomatology. 2021;(1(90)): 38–41.
- Barnett GA, Higgins DW, Major PW, Flores-Mir C. Immediate skeletal and dentoalveolar effects of the crown- or banded type Herbst appliance on Class II division 1 malocclusion. Angle Orthod. 2008;78(2):361–369. doi: 10.2319/031107-123.1
- Reyneke JP. Essentials of Orthognathic Surgery. Quintessence Pub Co; 2010. 555 p.
Supplementary files













